川南在线 发布时间:2025-07-03
2021年,一位40岁的母亲因"咳血三月"到西南医科大学附属中医医院胸心外科就诊。CT结果显示:右上肺门区肿块,支气管粘液栓。活检确诊为非小细胞肺癌(T3NxM0)。

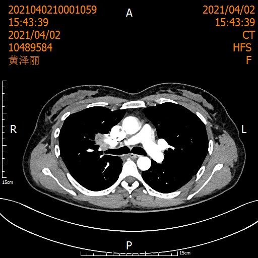
患者术前影像
但比肿瘤更沉重的,是她的生活:丈夫离世,10岁的孩子是她唯一的寄托,经济拮据,治疗方案需要反复权衡。握着检查单时,她红着眼说:"大夫,我想活到孩子成年。"
——那一刻,医生明白,他们要救的不只是一个器官、一位患者,更是一个家庭的未来。
面对手术与术前辅助治疗的分叉口,科室副主任刘浩副教授组织团队反复推敲:
直接手术? 肿瘤较大,手术风险高切除难度高。
先化疗? 单用传统方案可能收效有限。
免疫联合化疗?目前基因水平不清楚,基因检测该如何选择?且高昂的费用能否承担?
医生团队与患者反复沟通后,患者说:"怎么治疗,我都相信你们。" 这句沉甸甸的信任,也让刘浩团队下定决心:必须为她搏一个最优解!
绝境中的微光:免疫新辅助创造奇迹
遵循《国际专家共识》,刘浩团队启动了术前2周期化疗联合3周期"卡瑞利珠单抗+紫杉醇/卡铂"治疗。




治疗后患者影像
对于治疗带来的不适,护士都握着她的手为她加油打气;每一个医嘱,医生都为她反复斟酌思量。
经过术前新辅助治疗后,医生又为她精心策划了根治性手术,团队紧密配合,顺利完成。
查房时,医生总会多问一句"孩子谁照顾?有困难跟我们说"
输液时,护士总会给予温柔且坚定的鼓励“加油!不用担心,有我们”。
当术后病理报告出炉时,所有人的激动难以言喻: 肺泡上皮增生,间质明显纤维化伴淋巴细胞浸润及淋巴滤泡形成,未见明显肿瘤细胞,切缘阴性,21枚淋巴结0转移——病理完全缓解(pCR)!
从T3到T0,从晚期到根治,这场医患携手创造的奇迹,让整个科室沸腾!

随后,刘浩副教授又为其制定了后续的治疗方案:
术后2周期“化免”联合4周期“免疫”巩固治疗——守护来之不易的胜利
定期门诊复查——像雷达般扫描复发风险
线上"妈妈健康课堂"——教她营养康复知识
如今,这位患者坚持复诊已有5年了,已经重新回到了工作岗位上,也回归到了和孩子的幸福生活中。每次她来复诊,总是笑着对医生说:"是你们让我重生,给了我未来的希望。"
医学指导:刘浩

副教授
胸心外科副主任
擅长对肺癌、食管癌、纵隔肿瘤等胸部良恶性肿瘤的规范化及微创治疗及单孔胸腔镜下肺部疾病手术,胸腔镜下纵隔肿瘤切除手术,胸腹腔镜食管癌根治术及胸部外伤的微创治疗等。
城北门诊:周一全天
新辅助治疗:局部晚期肺癌的“先遣部队”
一、什么是新辅助治疗?
新辅助治疗是指在手术前先进行的全身性治疗(如化疗、靶向治疗、免疫治疗等),就像打仗前先派“先遣部队”削弱敌人实力。它的目的是缩小肿瘤体积、降低肿瘤分期,让原本无法手术的患者获得手术机会,或让手术切除更彻底,同时还能提前杀灭潜在的微小转移病灶,减少术后复发风险。
相比直接手术,新辅助治疗已被证实能显著提高局部晚期肺癌患者的手术切除率和生存率。例如,非小细胞肺癌患者通过“新辅助免疫+化疗”,术后肿瘤完全消失(病理完全缓解)的比例可达20%-30%,且生存期明显延长。
二、为什么局部晚期肺癌需要新辅助治疗?
局部晚期肺癌(如Ⅲ期)的肿瘤常已侵犯周围组织或淋巴结,直接手术可能无法完全切除,或术后复发率较高。新辅助治疗能:
缩小肿瘤:让原本“边界不清”的肿瘤变“小而局限”,提高手术切除成功率。
降低分期:部分患者治疗后肿瘤分期降低,从“不能手术”变为“可以手术”。
评估疗效:通过治疗反应判断肿瘤对药物的敏感性,为术后辅助治疗提供参考。

三、新辅助治疗的常见方式有哪些?
根据肺癌类型(非小细胞肺癌/小细胞肺癌)和患者个体情况,治疗方式包括:
化疗:通过药物抑制肿瘤细胞分裂,是传统新辅助治疗的基础,常用于无基因突变的患者。
靶向治疗:针对肺癌特定基因突变(如EGFR、ALK等),用药精准,副作用相对较小,适合携带敏感突变的患者。
免疫治疗:通过激活自身免疫系统攻击肿瘤,常与化疗联合使用(如“免疫+化疗”),尤其在非小细胞肺癌中效果显著。
联合治疗:多种方式结合(如“化疗+免疫”“靶向+化疗”),进一步提高疗效。
四、哪些患者适合新辅助治疗?
医生评估为可手术的局部晚期肺癌(如ⅢA期),但肿瘤较大或侵犯周围结构,直接手术风险高。
不可手术的局部晚期患者,通过新辅助治疗尝试转化为可手术状态。
提醒:新辅助治疗需在医生指导下进行,治疗期间需定期复查,同时保持均衡饮食和适度运动,增强身体耐受力。
(来源:西南医科大学附属中医医院)
编辑:李永鑫
关注川南在线网微信公众号
长按或扫描二维码 ,获取更多最新资讯
其他