川南在线 发布时间:2026-01-21
“医生,我这半年总肚子疼,大便也不正常,走两步就喘得不行,到底是啥毛病啊?”
60岁的舒阿姨走进西南医科大学附属中医医院普外·疝与腹壁外科诊室,脸上满是焦虑。谁能想到,这看似普通的消化和呼吸不适,竟藏着一个容易被忽视的“隐形问题”
膈膨升。
舒阿姨的困扰要从半年前说起,反复腹痛伴随大便次数增多,让她吃不好睡不香。更让她难受的是,稍微活动就胸闷气短,走路都恼火,买菜爬楼都成了奢望。在当地医院拍胸片提示“右侧横膈抬高,考虑膈疝”,这让她越发恐慌,于是带着胸片结果来就诊。
普外·疝与腹壁外科罗伟主治医生接诊后,细致查体发现了关键线索:
右侧第三肋间隙以下叩及鼓音,右胸下部竟能听到肠鸣音,结合舒阿姨无外伤史的情况,初步判断问题可能出在分隔胸腔和腹腔的“膈肌”上。
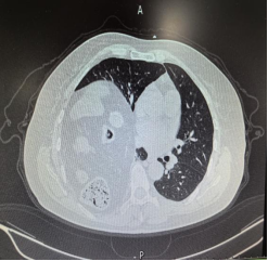
入院后完善胸部CT
结果显示右侧巨大膈疝(膈膨升?),右肾、胆囊、胃窦等多个腹腔器官都通过膈肌的“蓬松”缺损疝入胸腔,还压迫得右肺体积缩小、纵隔左移。为确保治疗万无一失,科室迅速组织心胸外科、呼吸内科、放射影像科、心血管内科、ICU、麻醉科等多科会诊,最终敲定手术方案。


科室副主任郭伍斌带领团队,在全麻下为舒阿姨实施了腹腔镜下膈肌折叠+补片修补术。
术中将松弛薄弱的膈肌像“叠衣服”一样折叠缝合,再用补片加固,成功把疝入胸腔的器官送回原位。
术后第2天,舒阿姨就能正常吃流质食物,还能用呼吸训练器锻炼肺功能;第5天复查胸片,受压的肺部已经慢慢复张;到了第7天,舒阿姨就顺利出院了,胸闷气短、腹痛腹胀等症状全没了,又能轻松买菜、散步,重拾了舒心生活。



郭伍斌
副教授
大外科兼普外·疝与腹壁外科副主任
什么是膈膨升?
膈膨升,其实就是膈肌出了问题。膈肌就像胸腔和腹腔之间的“隔板”,还是呼吸的“主力肌肉”,收缩舒张帮我们吸气呼气。
而膈膨升,就是这道“隔板”因为发育不良、薄弱或神经损伤,向胸腔异常抬高膨隆,就像“呼吸屋顶”变薄下陷了,腹腔器官容易往上顶,进而影响心肺和消化功能。
“屋顶”下陷会发这些信号
轻度膈膨升可能没症状,多在体检时发现,但严重时会出现这些情况:
1.呼吸方面:
活动或平躺时气短、呼吸困难,容易反复感冒、得肺炎;
2.消化方面:
上腹饱胀、食欲不振、恶心,还可能出现胃食管反流;
3.其他方面:
胸背部或上腹部隐痛,婴幼儿可能出现口唇青紫、喂养困难。

“屋顶”要修补吗?
对于无症状或症状轻微的成年人,每年复查胸片观察即可,无需特殊处理;
对于出现明显呼吸困难、反复感染、严重消化问题,或影响婴幼儿发育时,就需要手术。现在多采用微创的胸腔镜或腹腔镜,把松弛的膈肌折叠缝合,创伤小、恢复快,术后症状大多能显著改善。
温馨提示:
如果体检偶然发现膈肌抬高,别过度焦虑;但如果出现气短、反复咳嗽、腹痛腹胀等症状,一定要及时到医院就诊。保护好胸部、颈部,避免外伤,也能减少后天性膈膨升的风险。
(来源:西南医科大学附属中医医院)
编辑:李永鑫
关注川南在线网微信公众号
长按或扫描二维码 ,获取更多最新资讯
其他