川南在线 发布时间:2023-11-24
近日,西南医科大学附属中医医院骨伤科手外·儿骨·烧伤整形组,先后收治了两位车祸伤小朋友其中,最小的一位仅5岁。

网络图片,与本文无关
11月的某一天,7岁的小雨过马路时不慎被小汽车撞伤,导致右下肢剧烈疼痛伴活动受限,面部及右臂多处擦伤。小雨被紧急送至当地医院就诊,急诊检查提示“右股骨下段骨折,断端错位”。当地医院为其实施了石膏固定术后,建议转上级医院进一步诊治。小雨被送到了西南医科大学附属中医医院,急诊以“右股骨骨折”收入骨伤科手外·儿骨·烧伤整形组。

同样,5岁的小陈也是在过马路时不慎被小汽车撞伤,导致右下肢剧烈疼痛伴活动受限,全身多处擦伤,当地医院影像检查提示“右股骨粉碎性骨折”,建议转上级医院进一步诊治。小夏遂由120送至西南医科大学附属中医医院就诊,急诊以“右股骨骨折”收入骨伤科手外·儿骨·烧伤整形组。

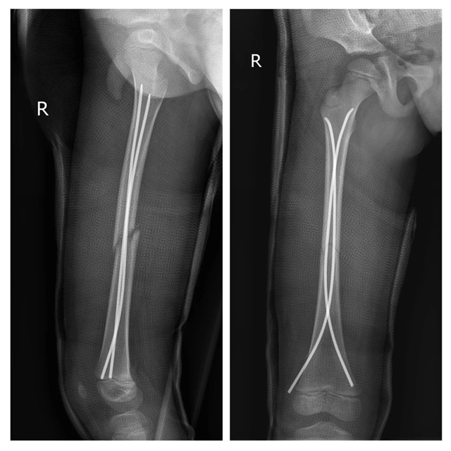
术前

术后
值班医师贺智榆接诊后立即为两位小朋友进一步完善相关检查及术前准备,并将相关情况向科室主任陈孝均副教授作了汇报。
一切准备就绪后,陈孝均副教授、贺智榆主治医师先后为两位小朋友实施了股骨骨折闭合复位+弹性髓内钉固定术+髋人字石膏固定术。术后经过医护人员的悉心照料,两位小朋友顺利康复出院。


贺智榆
主治医师
骨伤科手外·儿骨·烧伤整形组
硕士研究生,长期从事儿童骨科相关诊疗工作,擅长14周岁及以下的儿童骨科的所有疾病:儿童骨折、骨骺损伤、髋关节滑膜炎、膝关节半月板损伤等急性损伤、脊柱畸形、先天性髋关节发育不良(DDH)、儿童股骨头坏死(Perthes病)、长短腿、肘内翻、肘外翻、X型腿、O型腿、马蹄内翻足、高弓足、扁平足、骨关节结核、良恶性骨与软组织肿瘤、斜颈、扳机指等慢性疾病。
股骨骨折是儿童骨科比较常见的疾病,科室采用闭合复位弹性髓内钉治疗的方法治疗,该手术仅需在大腿两侧开2个微创伤口,具有创伤小、失血少、恢复快等优点。
同时陈孝均副教授手术团队为小孩量身设计制作了改良型髋人字石膏固定,既保证了骨折复位外固定的稳定性,也兼具了患儿的舒适度 。

温馨提示:每逢节假日和周末,儿童车祸伤就会出现一个小高峰,家长们平时一定要叮嘱孩子遵守交通规则,过马路时多注意观察,防止意外发生。
同时,车祸中经常会发生骨折,在意外发生后,应第一时间拨打急救电话,让专业的医护人员实施急救转运。同时应设法固定骨折部位(可用木板、木棍加捆绑的方式),防止发生位移。若营救者不会处理骨折,切忌随意移动伤肢,可用衣服、毯子等软垫包裹伤肢,保持固定位,等待救援。
骨伤科手外·儿骨·烧伤整形组简介





骨伤科手外・儿骨・烧伤整形组分三个亚专业方向:
一、手足外科:腕关节(包括桡骨远端骨折、腕管综合征、马德隆畸形等)及以远和踝关节以远的所有疾病;断指(趾)再植、断肢再植、四肢开放性骨折(Gustilo Ⅲ型)、皮肤撕脱伤(脱套伤)、四肢血管神经肌腱损伤等急性损伤;手指全型再造、慢性创面(创伤感染、压疮、糖尿病足、癌性溃疡等)、骨髓炎、甲沟炎、狭窄性腱鞘炎等慢性疾病。
二、儿童骨科:14周岁及以下的儿童骨科的所有疾病;儿童骨折、骨骺损伤、髋关节滑膜炎、膝关节半月板损伤等急性损伤;脊柱畸形、先天性髋关节发育不良(DDH)、儿童股骨头坏死(Perthes病)、长短腿、肘内翻、肘外翻、X型腿、O型腿、马蹄内翻足、高弓足、扁平足、骨关节结核、良恶性骨与软组织肿瘤、斜颈、扳机指等慢性疾病。
三、烧伤整形:创伤后骨与软组织重建、肿瘤切除术后重建、乳房再造、扩张器注射治疗、脂肪抽取填充治疗、多指(趾)、并指(趾)等整形外科相关疾病;烧伤急重症救治、瘢痕等烧伤相关疾病。
住院部地址:第一住院大楼11楼
咨询电话:0830-2523305
(来源:西南医科大学附属中医医院)
编辑:游江
关注川南在线网微信公众号
长按或扫描二维码 ,获取更多最新资讯
其他