川南在线 发布时间:2025-10-22
前段时间,音乐节现场的热闹氛围中,10岁的小丽(化名)兴奋地坐在爸爸肩头,随着音乐节奏轻轻晃动。

可谁也没料到,一个重心不稳,小丽从父亲肩头意外摔落,右侧肢体重重着地。瞬间的剧痛让她忍不住哭喊——右肘关节和右腕关节很快肿了起来,不仅动不了,右胳膊还阵阵发麻,尤其是第2.3手指,麻木感格外明显,伴有食指屈曲活动障碍。
看着孩子痛苦的模样,家长既心疼又焦急,为了尽快明确伤情、让孩子得到专业治疗,他们立刻带着小丽赶往西南医科大学附属中医医院。经初步检查后,骨伤科创伤・正骨组将小丽以“右肱骨髁上骨折”收入住院。
深夜紧急接诊!医生火速到院,伤情评估不容乐观
此时已是深夜,王念武医生接到科室主任刘宗超教授电话后,丝毫没有耽搁,晚上11点火速赶到医院接诊,孩子的伤情的确不容乐观:
右肘关节肿胀得厉害,明显变了形,皮肤上还散着青紫瘀斑和水泡,一碰就疼,轻轻活动,疼痛更甚,甚至能感触到骨头摩擦的声音;右腕关节同样肿胀,活动疼痛,症状与肘关节如出一辙,腕部呈轻微下垂状态,想往上抬都没力气,手指麻木感和伴有食指屈曲活动障碍也始终没有缓解。


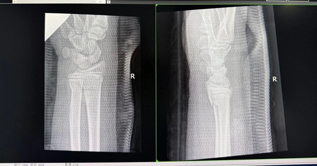
紧急完善影像检查后,诊断结果很快明确:中医诊断为“骨折病(气滞血瘀证)”,当“续筋接骨,活血化瘀”;西医诊断——右肱骨髁上骨折、右桡骨远端骨折,还合并正中神经损伤。



拒绝手术?中医正骨显威力!两次复位解患儿痛苦
小丽家长拉着王念武问道:“王医生,我闺女能不用开刀吗?手法复位行不行?开刀是不是会留手术瘢痕?以后是不是还要再手术取钢板?”
王念武深知手术治疗对孩子可能产生的潜在影响,在反复研究小丽的影像资料和体征后,最终决定:先行中医正骨手法复位,先易后难,先复桡骨远端骨折,固定稳定后再复位更为复杂的肱骨髁上骨折,最后根据手法复位情况再行决定是否需要手术。
随即,复位前的准备工作有条不紊地展开:仔细为小丽进行皮肤消毒,根据她的肢体尺寸制备适配的小夹板,调配好消肿止痛的外敷中药。
一切就绪后,在同事的默契配合下,王念武开始施展正骨手法, ——“擒拿扶正稳住肢体,拔伸牵引拉开错位,推端提按矫正偏移,抱迫靠拢归位骨骼,屈伸对合恢复关节”,整套动作行云流水,很快,两处骨折手法整复便顺利完成。
之后,医生为小丽外敷秘制中药,用小夹板妥善固定,再辅以理筋手法放松肌肉。


考虑到小丽伤情较重,为确保复位效果,王念武陪着孩子立即复查X片,结果显示桡骨远端骨折完全复位,但肱骨髁上骨折移位虽明显改善,但仍不够理想,还需进一步调整。看着患者越加肿胀的肢体,综合考虑,在和患者家属沟通后随即决定立即再次行正骨复位,不然后期肿胀加剧很可能就没有再次复位机会了。
王念武医生当机立断,就在影像室对肱骨髁上骨折再次行手法复位,第二次正骨结束后,小丽惊喜地告诉家长:“胳膊没那么痛了!”试着活动手指,也比之前灵活了不少,麻木也减轻了。
立即复查X片,骨折对合良好,复位成功!兴奋之余,医生和家属也松了口气,但都略显疲惫,而此时已是凌晨2点。


复位前后对比

复位后
俗话说“伤筋动骨一百天”,小丽在医院经过细致的中医康复治疗后肿胀已完全消退、感觉也恢复了,目前已康复出院,但治疗尚未结束,后期还需门诊复查。
“骨正筋柔,筋骨同治,不仅骨折要治好,功能恢复才是王道”,刘宗超主任说到,对于骨伤患者,科室始终秉承“中西合璧、筋骨并重、动静结合、医患携手”的理念,坚持“四不”(能外用不口服,能口服不输液,能保守不手术,能微创不开刀”),达到“五同”(中西同行、阴阳同调、筋骨同重、身心同治、防治同步)的治疗效果。
医生提醒:
家长带孩子参与音乐节等人员密集或热闹场合时,务必做好防护,避免让孩子长时间坐在肩头或高处,防止因重心不稳、意外碰撞导致坠落受伤;若不慎发生骨折,需及时前往医院就诊,专业医生会根据伤情制定最合适的治疗方案,切勿盲目拖延或自行处理,以免加重损伤。

骨折手法复位夹板外固定术
骨折手法复位术是骨伤科常用的治疗手段之一,指医师徒手将骨折或脱位的关节进行复位、固定的治疗过程。主要手法包括:手摸心会、拔伸牵引、旋转屈伸、提按端挤、摇摆触碰、夹挤分骨、折顶回旋、按摩推拿。
功效:纳正舒筋,消肿止痛,行气散瘀,恢复关节功能,促进骨折愈合。
中医正骨的好处
不开刀、痛苦小、花费少
恢复快,关节功能好
避免了骨折患者因术后发生粘连导致关节功能障碍
骨折患者入院后,多数会采取手术切开复位钢板螺钉内固定术,上钢板、取钢板两次手术,治疗周期也长,花费相对较大。
中医正骨复位+小夹板外固定术
创伤小,痛苦少


根据骨折与脱位的具体情况,选好适当的小夹板、绷带、棉垫和束带等,充分配合骨伤科特制的中药制剂内服及外用治疗。
患者在4-6周骨折部位愈合好后取掉小夹板即可,费用低廉。
哪些患者适合中医正骨手法复位及小夹板固定?
各种骨折、脱位及急慢性软组织损伤
以下伤情不适合:
1.伴有软组织开放性损伤、血管神经损伤、感染及血液循环障碍者;
2.骨折粉碎,极不稳定者;
3.躯干骨骨折等难以固定者;
4.昏迷或肢体失去感觉功能者。
医学指导:王念武

主治中医师
骨伤科创伤·正骨组
医学硕士,擅长手法复位四肢骨折保守治疗,运动损伤康复治疗,针灸及手法相结合治疗颈、肩、腰、腿痛等相关疾病;曾担任中国医学救援学会运动伤害分会关节运动伤害学组委员,中国国家短道速滑队队医,泸州市中西医结合学会骨科分会创伤专委会委员。
(来源:西南医科大学附属中医医院)
编辑:李永鑫
关注川南在线网微信公众号
长按或扫描二维码 ,获取更多最新资讯
其他