川南在线 发布时间:2023-10-17
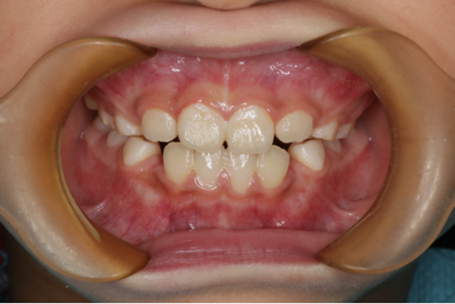
8岁的彤彤(化名)正在换牙。细心的妈妈发现彤彤有地包天趋势,担心牙齿越长越突出,影响个人形象,赶紧带着彤彤来到了西南医科大学附属中医医院口腔科。




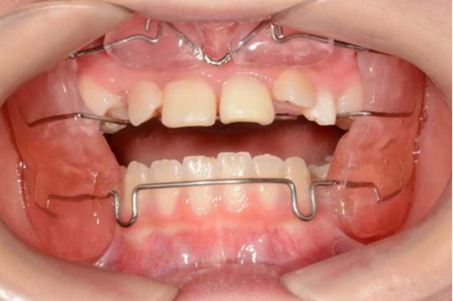
就诊后,口腔科医生为彤彤实施了上颌颌垫式活动矫治器+舌簧的治疗方案。2个月后,彤彤的前牙恢复了正常。





余树容
副教授 副主任医师
口腔科副主任(主持工作)
擅长现代根管治疗术、前牙变色的美容贴面修复术、现代直丝弓矫治技术及自锁托槽矫治术、隐形矫正技术,全瓷牙冠美容修复、全瓷嵌体及髓腔固位冠修复、各种复杂活动义齿、全口义齿修复、颌面部清创美容缝合术、高难度阻生牙拔除术、口腔齿槽外科常规手术、口腔牙种植手术等。
城北门诊时间:周一、三、五、七全天
自查!快看看你家孩子牙齿有这个问题吗?
从正面看,下牙包住上牙;从侧面看,脸型呈弯月形;下巴给人一种前伸的感觉,整体的面部十分不协调。这是一种典型的牙齿畸形,俗称地包天。

什么是“地包天”?
地包天学名“反合”,俗称“地包天”“兜齿”。我们正常人的咬合应该是上颌所有牙齿整体均匀地覆盖下颌所有对应牙牙冠的1/3左右。而“地包天”者正好相反,是下颌牙齿覆盖在上颌牙齿的外面。如上面案例即为前牙区反合患者。
“地包天”的危害?
“地包天”会影响咀嚼功能及口腔健康,下颌咀嚼时运动曲线异常,不能正常行使切咬功能,会对关节产生慢性损伤;对患者容貌美观影响很大,严重者面部凹陷,下巴明显突出,侧面呈月牙状,不少儿童由此产生心理障碍。

“地包天”的治疗方法?
综合考虑分类、病因、年龄等因素后选择适合的治疗方法,常见有以下几种矫治方法:
1.乳尖牙调合、咬翘法
2.不良习惯去除:造成乳牙反合常见的口腔不良习惯有前伸下颌、咬上唇、口呼吸等
3.下颌联冠斜导

4.上颌舌簧活动矫治器

5.局部固定矫治器

6.前方牵引器

7.Frankel-3功能矫治器等

“地包天”矫治的时机?
1、乳牙期:3-5岁,只要患儿配合就能进行矫治。
2、青少年期:在生长发育高峰期可以充分利用其生长潜能进行矫治。
3、成年:成人没有生长改良的机会,只能改变牙齿排列进行掩饰性治疗,对于骨性畸形严重的患者只能通过正畸-正颌手术联合治疗。
“地包天”的治疗,需趁早由口腔医师进行面诊检查并综合评估,视具体情况做出诊断及矫治方案。
口腔科





西南医科大学附属中医医院口腔科设有口腔内科、口腔外科、口腔修复科、口腔正畸科、口腔种植科、儿童牙科等亚专科。开展了全口治疗义齿修复新技术、现代镍钛根管治疗术、美容超薄全瓷贴面、全瓷嵌体修复、全瓷冠桥修复技术、精品全瓷美容牙冠修复术、黄牙和变色牙冷光美白术、进口玻璃离子水门汀及3M树脂材料牙体充填术、现代固定直丝弓矫治技术、自锁托槽矫治技术、 隐形矫治技术、颌面部软硬组织损伤的专科处理、种植义齿修复等技术。
地址:城北门诊3楼C区
电话:0830-2516302
(来源:西南医科大学附属中医医院)
编辑:游江
关注川南在线网微信公众号
长按或扫描二维码 ,获取更多最新资讯
其他