川南在线 发布时间:2023-10-09
脑出血是神经外科常见的急症之一,当脑出血发生后,最关键的就是要及时鉴别并且进行相应的处理措施。越早进行干预患者的预后就会越好,脑出血症状表现有哪些?
对于脑出血的症状形式,要根据本身脑出血的严重程度来进行分析,如果比较严重,发病比较急,容易引起颅内压明显升高,从而会表现为剧烈的头痛,伴随呕吐,甚至出现意识障碍。
如果只是轻微的脑出血,主要会产生有头痛、头晕,以及口角歪斜的情况,可以通过头部影像学的方法来进行检查确诊。在病情没有继续发展的前提下,要注意监测和控制血压,防止后期出现有病情复发的现象。
出现上述症状时应立即前往医院行头颅CT、CTA等检查,排除是否有脑出血的发生。

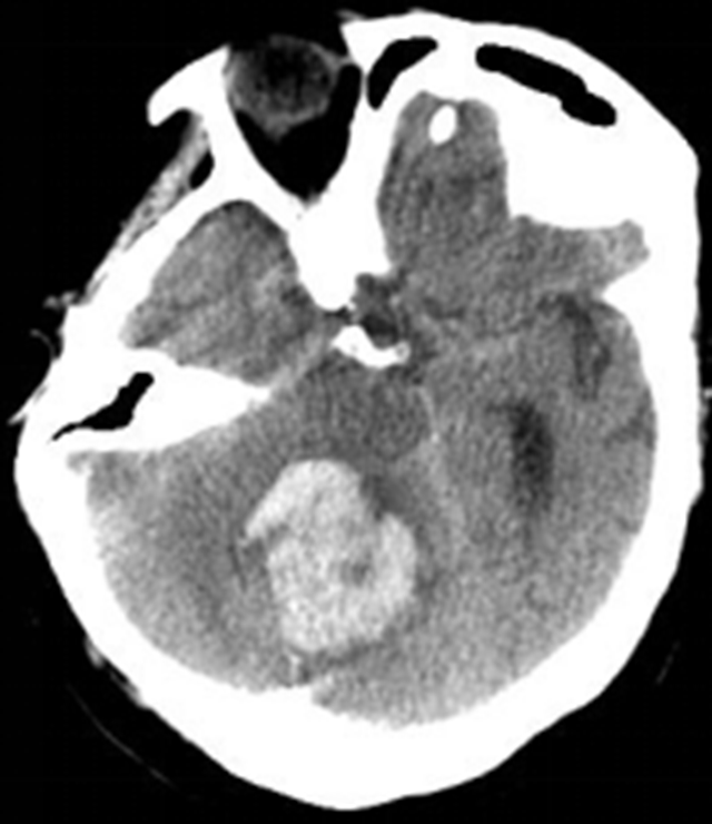
基底节区

小脑

脑干
如果有相应症状并检查证实有脑出血的患者,那么就要进行治疗了。治疗包括保守治疗和手术治疗两种方式:
保守治疗包括
评估生命体征 -- 心电监护、建立静脉通道、吸氧等;
控制血压 -- 降压药 (硝普钠、尼卡地平等);
降低颅内压 -- 脱水药(甘露醇等);
降低再出血风险 -- 抗纤溶药 (氨甲环酸等);
控制感染 -- 坠击性肺炎;
预防消化道出血 -- 应激性溃疡;
营养支持、维持内环境稳定等。
手术治疗包括
在保守治疗的基础上进行手术清除血肿,挽救生命,保留功能!
钻孔引流
优点:
1.创伤小,费用低;
2.通过及时清除脑室内或脑实质内血肿从而调节脑脊液循环通路,可减轻脑积水,控制颅内压;
3.可避免因早期为降低颅内压及减轻脑水肿而过多使用甘露醇所带来的肾功能损害等不良反应等。
缺点:
1.盲操作,血肿清除不完全;
2.持续的脑室外引流易发生引流管堵塞从而导致降颅压效果差;
3.易发生感染;
4.未能清除附着在脑室壁上的血块甚至可诱发帕金森病。

显微镜开颅手术
优点:
1.术野暴露好,可在短期内迅速清除血肿;
2.清除血肿止血充分,可缓解脑水肿和改善脑脊液循环通路,降压效果好。
缺点:
1.神经损伤;
2.二次出血的发生率高;
3.脑组织(尤其是深部脑组织)损伤大。

神经内镜
优点:
1.对脑组织损伤小,属于微创手术;
2.可短时间内清除颅内血肿,可达第三脑室或第四脑室内;
3.可冲洗血性脑脊液,常用于IVH并发的梗阻性脑积水;
4.直视下清除血肿,可减少对血肿腔的破坏以避免新的出血。
缺点:
1.视野相对狭小,操作不便,止血困难;
2.内镜配件多,操作过程中无菌条件要求较高,术后易感染。

总原则:早就医,早诊断,早治疗。
神经外科简介

合江县中医医院神经外科开设床位30张;医护人员20人;其中医师7人(副主任医师1人,主治医师1人;硕士研究生1人,医学学士学位6人),团队成员曾于四川大学华西医院、山东大学齐鲁医院、重庆陆军第一附属医院、西南医科大学附属医院及西南医科大学附属中医医院等国内多家三甲教学医院进修学习;发表神经外科相关论文10余篇。拥有速迈神经外科专用手术显微镜、美国林福泰克开颅动力系统、德国斯皮尔伯格动态ICP监测、神经外科显微手术操作器械、亚低温治疗仪等先进设备,可完善DSA(数字减影脑血管造影)、磁共振脑血管显像、CTA、脑电图等先进检查。
主要开展神经急重症病人抢救,各种复杂颅脑外伤手术;高血压脑出血的开颅、微创及穿刺等多种手术治疗;脑血管畸形、颅内动脉瘤开颅及介入治疗;大脑凸面肿瘤、小脑肿瘤、颅底肿瘤及各种复杂颅内肿瘤手术治疗;三叉神经痛、面肌痉挛等神经功能疾病治疗;脊柱脊髓病变、椎管狭窄等手术治疗等。科室设备先进,技术力量雄厚,人才梯队合理,临床经验丰富,处于泸州市县(区)级医院前列。
科室电话:0830-5224120
科室地址:
门诊:门诊部二楼神经外科
住院:外科大楼九楼神经外科
李建简介

中共党员,神经外科主任,副主任医师,本科学历,泸州市神经外科专业委员会委员第一、第二届委员,泸州市中西医学会神经外科专业委员会常务委员第一届委员,泸州医学院临床医学专业毕业。曾在泸州医学院附属医院、西南医科大学附属中医医院、重庆陆军第一附属医院(西南医院)等多家三甲医院神经外科进修,发表论文10余篇。擅长神经急重症病人抢救,各种复杂颅脑外伤手术;高血压脑出血的开颅、微创及穿刺等多种手术治疗;颅骨骨瘤的手术治疗;大脑凸面肿瘤、小脑肿瘤、颅低肿瘤及各种复杂颅内肿瘤手术治疗;颅内动脉瘤夹闭手术治疗;三叉神经痛、面肌痉挛等神经功能疾病治疗;脑血管畸形的手术治疗;脊柱脊髓肿瘤的手术治疗;各类普外科疾病的手术治疗。
韦凯烯简介

硕士研究生,本科毕业于西南医科大学,后于西南医科大学附属医院继续攻读硕士研究生(神经外科方向),发表SCI论文1篇。熟悉外科常见疾病的诊疗,熟练掌握颅脑外伤、脑出血、颅内肿瘤、三叉神经痛、面肌痉挛、舌咽神经痛、帕金森病等功能疾病的诊疗。
(来源:合江县中医医院)
编辑:游江
关注川南在线网微信公众号
长按或扫描二维码 ,获取更多最新资讯
其他