川南在线 发布时间:2026-04-14
近日,西南医科大学附属中医医院普外·疝与腹壁外科黄恒副教授的门诊,迎来了满面愁容的王阿姨。谁也没想到,这个看似普通的患者,背后藏着长达16年的就医困扰。

切口“鼓包”,手术难度极高
16年前,王阿姨因子宫肌瘤接受开腹切除手术;6年前,又因粘连性肠梗阻再次开腹,术后切口感染,虽经换药后瘢痕愈合,却也埋下了健康隐患。
一年前,王阿姨发现下腹部切口下段冒出了一个“小鼓包”,起初不以为意,未及时就诊。可随着时间推移,鼓包逐渐增大到芒果大小,近期还伴随明显腹痛,这才慌了神,连忙前往当地医院检查,诊断为切口疝。
然而,由于王阿姨有多次腹腔手术史,且存在肠粘连,切口疝又位于下腹部关键区域,手术难度极高,当地医院建议她前往上级医院就诊。

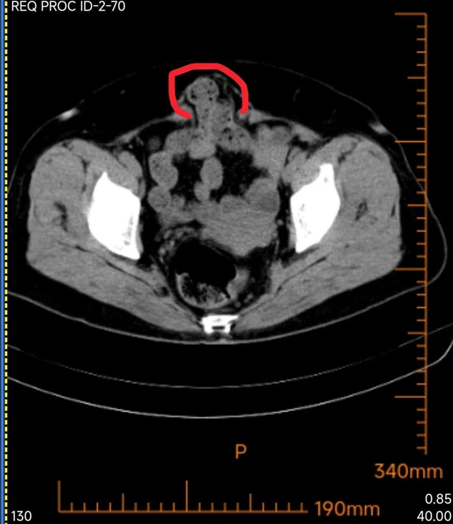
修补前
微创方案,破解修补难题
抱着一线希望,王阿姨来到西南医科大学附属中医医院普外·疝与腹壁外科就诊,黄恒医生接诊后耐心询问病史、细致查体,全面评估了王阿姨的病情,发现这个切口疝的棘手之处在于,缺损位于下腹部耻骨上,周围有膀胱、腹壁下血管等重要脏器,常规修补术难以固定补片,风险极高。
综合评估了患者切口疝后,黄恒医生拟定了微创手术修补方案——腹腔镜经腹部分腹膜外修补术(TAPE)。得知无需再次承受大切口的痛苦,还能有效解决顽疾,王阿姨欣然同意了这个方案。

修补后
三小时手术,终结多年困扰
经过充分的术前评估和准备,黄恒副教授、刁文吉主治医师、刘飞主治医师组成的手术团队顺利为王阿姨实施了手术。术中所见远超预期:腹腔内多发广泛粘连,小肠及大网膜粘连于腹壁,大量小肠及网膜从腹壁缺损疝出并伴有粘连,缺损面积达6*5cm,手术难度远超预估。
凭借精湛的微创技术和默契的团队配合,手术团队小心翼翼地分离粘连、复位疝出组织、精准植入补片、妥善固定。历经3个小时的奋战,手术圆满完成。术后,王阿姨恢复良好,下腹部的“大包”彻底消失,腹痛、腹胀症状也明显缓解,困扰多年的顽疾终于得到了解决。
黄恒副教授介绍:腹腔镜经腹部分腹膜外修补术(TAPE)是腹腔内补片修补术(IPOM)的改良版,核心是将部分补片置入腹膜前间隙,专门针对耻骨上、肋缘下等边缘切口疝,有效解决补片固定难题,降低复发和脏器损伤风险,且全程腹腔镜微创操作,具有创伤小、恢复快的优势,为复杂切口疝患者带来了新希望。

黄恒
副主任医师
副教授
普外·疝与腹壁外科
(来源:西南医科大学附属中医医院)
编辑:李永鑫
关注川南在线网微信公众号
长按或扫描二维码 ,获取更多最新资讯
其他