川南在线 发布时间:2025-11-30
私密处突然冒出粉色小“痘痘”?先别自我诊断成“青春痘”!这些不痛不痒的小凸起可能是爱“搞事情”的潜伏者——传染性软疣。



这时候可千万别当“鸵鸟”,要赶紧到医院找医生,让专业人士来揭开小“痘痘”的真面目!
传染性软疣,到底是何方“妖孽”?
传染性软疣堪称皮肤界的“潜伏特工”,其背后的“黑手”是传染性软疣病毒。它最爱“盯”上活力满满的儿童和青年,悄咪咪潜伏14天到6个月后,就开始在你身上“刷存在感”。
它的“作案地点”遍布全身,但尤其钟爱颈部、躯干、下腹部和外生殖器这些地方(成人的软疣一般多见于外生殖器部位)。

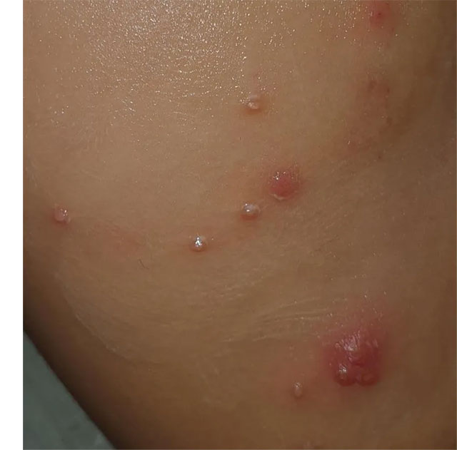
一开始,它会伪装成白色、半球形的小丘疹,跟皮肤玩“捉迷藏”。随着时间推移,这些小丘疹开始“膨胀”,能长到直径5-10毫米,中间还凹下去,像个迷你小肚脐,表面泛着蜡一样的光泽。
要是大胆“拆穿”它(挑破顶端),还会挤出白色乳酪状的“罪证”——软疣病毒堆积成的软疣小体!

传染性软疣的“作案手段”有哪些?
直接接触传播:在公共浴室、游泳池、健身房等潮湿温热的环境中,传染性软疣病毒可能以 “潜伏者” 的姿态附着在毛巾、座椅、水龙头等物体表面。
当人体皮肤与携带病毒的污染物发生摩擦或接触时,尤其是皮肤存在微小破损(如搓澡时的轻微划痕、汗孔张开状态),病毒便可能“趁乱而入”。
更离谱的是,它还能自体接种传播,在患者自己身上“串门”——当患者搔抓疣体时,病毒可能随着抓挠动作转移至其他皮肤区域,所以千万别手痒去抓!

性行为传播:不管是同性还是异性之间的亲密互动,都可能给传染性软疣可乘之机。谁能想到,亲密瞬间可能让这个“小怪兽”有机可趁呢?
不慎“中招”,该怎么办?
答案是
立刻开启“战斗模式”!
发现中招,别犹豫,马上到医院治疗!
全面排查“隐患”:要是有过不安全的性生活史,建议来个“大体检”,把其他性传播疾病也筛查一遍,毕竟小心驶得万年船!
及时“通风报信”:赶紧告诉近期有过“亲密接触”的小伙伴,让TA也去检查治疗。大家一起对抗这个“皮肤小刺客”,可别藏着掖着!
传染性软疣怎么治?治好会留难看的瘢痕吗?
治疗传染性软疣的核心任务,就是把软疣小体从皮肤里“连根拔起”!医生会根据疣体的大小、位置,选择刮除、冷冻、激光等治疗手段。
治疗原则:清除疣体,避免扩散!
1.物理治疗(首选):
夹除术:医生用镊子夹出软疣小体(会涂麻药,痛感轻)。
冷冻/激光:适合数量多或敏感部位。

2.药物治疗:中药外洗、外涂咪喹莫特乳膏、碘酊等(需医生指导)。
3.自愈可能:部分人免疫力强可自愈,但需数月甚至2~3年,期间易传染他人!
千万别做:自己用针挑、用手抠!可能导致感染、留疤、扩散!

别担心,一般成功“打败”传染性软疣后,皮肤会“完美复原”,不会留下难看的瘢痕。如若出现明显继发感染,可能会遗留瘢痕。
如何把传染性软疣“拒之门外”?
◆ 公共泳池、温泉等场所,游玩后尽早淋浴;
◆ 公共浴缸使用前需彻底清洁,或尽量不用;
◆ 毛巾、内衣内裤等个人物品,坚决不与人共用;
◆ 管住自己的手,别乱抓挠,防止病毒在身上“扩散”;
◆ 最后,远离不洁性生活,给自己的健康加道“安全锁”!
温馨提示
发现皮肤异常小疙瘩,别乱用药!及时到皮肤科就诊,早处理早安心!
医学指导
杨瑶
主治医师
硕士研究生

擅长中西医结合治疗痤疮、玫瑰痤疮、面部皮炎,荨麻疹、湿疹、带状疱疹、疣、雀斑、太田痣、癣、药疹、银屑病、过敏性紫癜、白癜风等疾病,尤其擅长脱发及光电治疗皮肤疾病。
(来源:西南医科大学附属中医医院)
编辑:肖昂
关注川南在线网微信公众号
长按或扫描二维码 ,获取更多最新资讯
其他