川南在线 发布时间:2025-09-20
肺癌,一旦进展至晚期,约60%的患者会面临一个更加凶险的“敌人”——恶性胸腔积液。它不仅让患者饱受呼吸困难、剧烈咳嗽和胸痛的折磨,生活质量一落千丈,将患者的中位生存时间压缩至短短3-12个月。
恶性胸腔积液就像一潭“毒水”,严重影响肺癌患者预后。

率先开展HITOC技术
西南医科大学附属中医医院
胸心外科副主任
刘浩副教授团队
率先通过 “术中胸腔镜置管 + 术后规范药物灌注”开展胸腔热灌注化疗(HITOC)技术,成功为一晚期肺癌伴恶性胸腔积液患者控制胸水、解除病痛,让“生存”变为“高质量生存”。
胸水“扼住”呼吸
一年前,张爷爷在外院检查发现肺占位性病变,穿刺活检后却未能明确诊断。此后辗转多家医院就诊,虽然高度怀疑肺癌,但因诊断“模糊”,治疗缺乏针对性,效果欠佳。
4个月前,出现胸部及肩背疼痛。
7月初,症状急剧加重。
“我现在只想要个明确癌症晚期的诊断!”
病程迁延8个月余,症状持续加重,身心备受煎熬,来到西南医科大学附属中医医院胸心外科就诊。此时,张爷爷及家属的治疗诉求也早已从“治愈”变为“止痛”——只求明确癌症诊断,能规范使用止痛药物缓解痛苦。
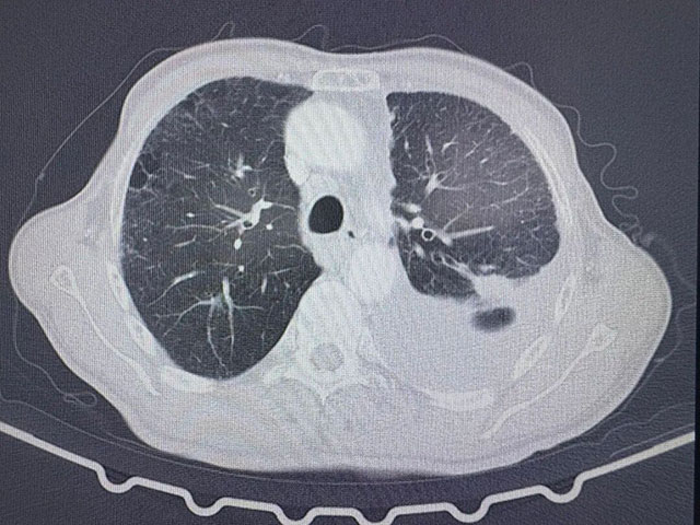
入院时,张爷爷的病情已十分危急,胸心外科副主任刘浩副教授检查发现:左肺存在恶性结节,左侧胸腔中量积液,肺部感染严重。

刘浩
副主任医师,胸心外科副主任,擅长对肺癌、食管癌、纵隔肿瘤等胸部良恶性肿瘤的规范化及微创治疗及单孔胸腔镜下肺部疾病手术,胸腔镜下纵隔肿瘤切除手术,胸腹腔镜食管癌根治术及胸部外伤的微创治疗等。
城北门诊时间:周一全天


术前胸部CT


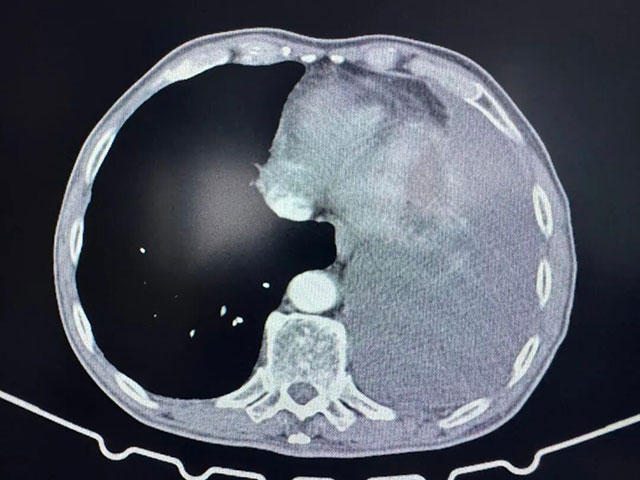
术后胸部CT
微创手术+HITOC双管齐下
针对病情,医院多学科团队MDT联合会诊,定制“胸腔镜微创手术+术后胸腔热灌注化疗(HITOC)”的个体化治疗方案——微创手术切除肺部肿瘤、清除现有胸水+HITOC技术杜绝复发。
7月9日,刘浩副教授手术团队为张爷爷实施胸腔镜下肺部分切除术+胸腔积液清除术+胸膜活检,成功切除了1.5×1.1×1.0cm大小的浸润性腺癌病灶,并清除了胸腔内积液。术后病理提示,肿瘤已侵犯肺膜,属于晚期肺癌,治疗预后不佳。


术中
HITOC第一步:术中胸腔镜下精准置管
手术过程中,刘浩副教授借助胸腔镜的高清视野,清晰探查患者胸腔内病变范围、积液情况及脏器位置,精准避开血管与神经,将灌注引流管放置于最利于药液循环与引流的最佳位点。这一操作不仅创伤小、安全性高,更为后续的 HITOC 治疗打造了一条精准、通畅的 “治疗通道”,从源头保障灌注效果。
HITOC第二步:术后规范热药物灌注
“确定最佳药物剂量、灌注频率以及……”术后恢复一段时间后,7 月31日,张爷爷接受了关键的胸腔热灌注化疗(HITOC)。复查显示,各项指标平稳,仅红细胞略有下降,对症处理后迅速恢复。
HITOC如何攻克胸水?
“术中胸腔镜置管 + 术后规范药物灌注”,两步协同
刘浩副教授介绍,HITOC技术采用 “术中精准置管” 与 “术后规范灌注” 相结合的治疗路径:先于术中通过胸腔镜完成精准置管,术后再进行规范的热药灌注,并全程密切监测温度、速度及生命体征。
适用于:
晚期恶性肿瘤伴发的恶性胸腔积液
胸膜有弥漫性癌性结节的恶性胸腔积液
恶性胸膜间皮瘤
近日,胸心外科又再次成功运用该技术,为一名卵巢癌胸膜转移的患者清除了恶性胸腔积液。
(来源:西南医科大学附属中医医院)
编辑:肖昂
关注川南在线网微信公众号
长按或扫描二维码 ,获取更多最新资讯
其他