川南在线 发布时间:2024-03-12
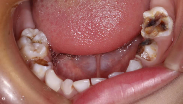
乖乖,把嘴张开,让阿姨看一下,啊,不要过来……我不要……痛……

西南医大中医院口腔诊疗中心黄丹医生正要给5岁的豪豪(化名)检查坏掉的牙齿,结果还没等靠过去,豪豪就嗷地一声开始打滚式逃避,一边的妈妈怎么都按不住,安抚了半天,汗水都整出来了,豪豪就是不配合。
“黄医生,这娃儿老叫牙齿疼,又死活不配合,一个劲儿嚎,怎么办呀?”豪豪妈妈说道。
“全麻口腔治疗吧,小家伙的牙齿得赶紧处理了。”黄丹医生确认豪豪没有手术禁忌症后,为豪豪完善了相关检查,制定了全麻下舒适化儿童口腔治疗方案。

“豪豪,你看这是什么,放在鼻子上就一点都不疼了,阿姨保证。”
到了手术时间,麻醉科医生为豪豪实施了全身麻醉,黄丹很顺利地为豪豪完成了治疗。手术结束后,豪豪就复苏了,黄丹给家长交代了注意事项后,他们就回家了。




黄丹
主治医师
口腔医学硕士
硕士研究生,擅长儿童口腔、颌面外科及牙体牙髓病领域,包括儿童舒适化全麻下口腔治疗、儿童早期矫治、乳牙早失间隙维持、舌系带修整术、年轻恒牙活髓切断术、根尖诱导术,儿牙预防保健(涂氟,窝沟封闭等);乳恒牙龋病、牙髓根尖周病的根管治疗及冠修复;颌面部外伤美容缝合、口颌面部肿物切除、牙外伤再植及固定,各类牙及埋伏阻生牙微创拔除术;氟斑牙贴面美学修复,活动义齿修复,牙齿美白;口腔黏膜疾病的诊治等。
城北门诊时间:周二至周六全天
我们经常遇到小朋友不配合的情况,全麻下舒适化儿童口腔治疗,就是针对这类不配合又有许多坏牙齿小朋友的最佳选择,可以舒适化地一次性解决小朋友口腔问题。
首先患儿坏牙多,就诊次数多,增加了就诊成本;其次许多口腔问题需要局麻伴有疼痛,患儿不配合还容易对口腔治疗产生阴影,例如根管治疗、拔除难度较大的牙、唇舌系带修整术等,这时全麻下舒适化口腔治疗就是最佳的选择。
什么是全麻下儿童口腔舒适化治疗?
口腔治疗的舒适化主要是通过对患儿采取个体定制的镇静镇痛技术手段来达成舒适化的目的。
在全麻下可以安全、高效地一次性完成儿童口腔内所有患牙的治疗,解除患儿的焦虑和疼痛,节省了患儿家长的时间,减少就诊次数,提高了诊疗效率。
对于低龄及看牙恐惧的宝宝们,通过该项技术,绝大多数能够实现全口患牙的治疗。手术后通过儿童口腔门诊的随诊及口腔卫生习惯的养成,可以达到满意的治疗及愈后。

全麻下儿童口腔舒适化治疗适用于哪些人?
1.心理、情感或智力障碍或全身系统性疾病而不能配合的患者;
2.3岁以下,需要立即治疗,因年幼不能配合的低龄患儿;
3.极度恐惧、紧张或不能交流的儿童或青少年,短期内行为不能改善者;
4.家长担心束缚治疗会造成儿童的心理伤害或其他可能危险的;
5.急性感染、解剖变异或过敏、局麻无效时;
6.多颗牙需要治疗,家长或患儿不能多次就诊者。

全麻会影响孩子的健康或智力吗?
全麻一般不会对3岁以上儿童的神经系统产生远期不良影响。
国内外的研究和实践表明婴幼儿短时间接受全身麻醉,对儿童的智商和认知功能没有影响,不需要因担忧全身麻醉对儿童智力的影响,而让儿童承受延迟口腔治疗带来的危害。
对于小于3岁、治疗时间超过3小时的患儿,选择全麻则要相对慎重,应由医生、家长权衡风险再做选择。
(来源:西南医科大学附属中医医院)
编辑:游江
关注川南在线网微信公众号
长按或扫描二维码 ,获取更多最新资讯
其他