川南在线 发布时间:2023-12-18
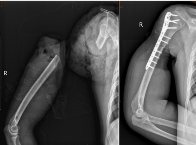
2023年9月的某一天,19岁的李明(化名)在沙石厂干活时,被“输送机皮带”绞伤右上肢,当即致右上臂处完全离断,疼痛剧烈、出血不止。
工友立即拨打120,由120将李明送至西南医科大学附属中医医院急诊科,急诊以“右上臂创伤性切断”收入骨伤科手外·儿骨·烧伤整形组。

值班医生王波接诊处理后,科室副主任陈孝均、医疗组长刘安铭、主治医师黄宇、主管医生王波共同为患者制定了急诊手术方案:右上臂断肢再植+血管移植术,手术历时8小时。
术中及术后予以输血、抗感染、抗血管痉挛、补液扩容等治疗,后期又历经清创、植皮等多次手术,最终为李明保住了右上肢,留住了一个青年人的希望。


宇黄
主治医师
骨伤科手外・儿骨・烧伤整形组
从事手足显微外科工作10余年。擅长小儿手足先天畸形、创伤后遗畸形的矫形,对断肢(指)再植、手指再造、周围神经损伤修复、创面修复(骨髓炎、压疮、糖尿病足)、功能重建等方面有丰富的临床经验。
肢体断离伤是一种常见外科急症,多由于切割伤或者撕裂性损伤所致,一般根据断离程度分为完全断离和不完全断离。
完全断离:断端肢体远端部分完全断离,无任何组织相连。
不完全断离:受伤肢体局部组织大部分已断离,并有骨折或者脱位,残留部分有活力的相连的组织,主要血管断裂或者栓塞,肢体远侧部分无血液循环,不吻合血管肢体必将坏死。
好发人群为建筑工地的工人、操作机轮的工人以及交通事故也可出现此伤病。肢体断离、剧烈疼痛感;面色苍白、肢体发冷,伤肢失血后部分患者可出现烦躁不安、头晕等症状,严重者可并发失血性休克等。

离断肢体保存方法
未完全离断的肢体:先用无菌敷料或干净布料覆盖,然后用小夹板或替代品进行临时固定。在固定过程中对连接断肢与躯体的组织不要过度牵拉和扭曲,以避免影响断肢的血液供应而发生继发性损伤。
完全断离的肢体:将断肢用无菌敷料或清洁布料包好后,外套塑料袋密封,把密封的塑料袋放在温度低(0-4℃)的冰或水的容器中,以防止冰水渗入。这样可以减缓伤口的细菌繁殖和断离肢体的细胞代谢,缺氧时间延长,组织细胞坏死时间也会延长,有利于争取手术操作时间,所以肢体必须冷藏。另外一方面必须保持患肢的干燥,禁止把肢体放在盐水、生理盐水、酒精、消毒液等里面,因为浸泡会破坏细胞组织结构,影响再植手术的成功。
肢体近端处理:断面如有活动性出血,应用清洁敷料加压包扎止血,包扎时要用力,防止大出血出现失血性休克,甚至死亡。最好不用止血带,必须使用止血带时,则应半小时放松一次,防止时间过长加重损伤。

断肢再植的最佳时间
6-8小时为最佳时间,时间越短越好。
超过8小时或者在8-12小时以内,断肢再植成功率逐渐降低,坏死几率增高,所以断肢再植的最佳时间,其实与病人肢体、温度、保管托运等,均有很大的关系。
骨伤科手外·儿骨·烧伤整形组简介





骨伤科手外・儿骨・烧伤整形组分三个亚专业方向:
一、手足外科:腕关节(包括桡骨远端骨折、腕管综合征、马德隆畸形等)及以远和踝关节以远的所有疾病;断指(趾)再植、断肢再植、四肢开放性骨折(Gustilo Ⅲ型)、皮肤撕脱伤(脱套伤)、四肢血管神经肌腱损伤等急性损伤;手指全型再造、慢性创面(创伤感染、压疮、糖尿病足、癌性溃疡等)、骨髓炎、甲沟炎、狭窄性腱鞘炎等慢性疾病。
二、儿童骨科:14周岁及以下的儿童骨科的所有疾病;儿童骨折、骨骺损伤、髋关节滑膜炎、膝关节半月板损伤等急性损伤;脊柱畸形、先天性髋关节发育不良(DDH)、儿童股骨头坏死(Perthes病)、长短腿、肘内翻、肘外翻、X型腿、O型腿、马蹄内翻足、高弓足、扁平足、骨关节结核、良恶性骨与软组织肿瘤、斜颈、扳机指等慢性疾病。
三、烧伤整形:创伤后骨与软组织重建、肿瘤切除术后重建、乳房再造、扩张器注射治疗、脂肪抽取填充治疗、多指(趾)、并指(趾)等整形外科相关疾病;烧伤急重症救治、瘢痕等烧伤相关疾病。
住院部地址:第一住院大楼11楼
咨询电话:0830-2523305
(来源:西南医科大学附属中医医院)
编辑:游江
关注川南在线网微信公众号
长按或扫描二维码 ,获取更多最新资讯
其他