川南在线 发布时间:2023-09-01
59岁的胡大叔,一年前因为左肺小细胞癌,到附近医院做了“单孔胸腔镜左侧胸腔粘连松解术+左肺上叶结节切除术”,术后又进行了多次放疗,恢复还不错。
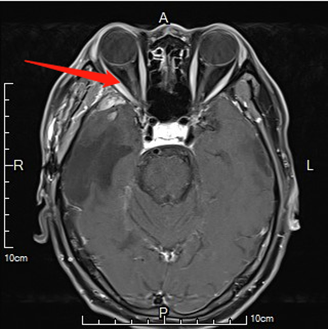
2023年5月底,胡大叔出现了右眼胀痛、视物模糊、右眼球外突的症状,便来到了西南医科大学附属中医医院就诊。医生为其做了眼眶MRI检查,结果提示右眼眶外侧壁、上壁及右侧蝶骨翼软组织有肿块的影子,结合胡大叔肺癌的病史,考虑是肿瘤复发伴眼眶颅底颅内转移。

难道要切除眼球吗?病人右眼视物模糊,和周围粘连,手术困难,有没有其他办法能保留右眼球吗?
肿瘤·血液病科(城北病区)副主任曾瑞副教授、主管医生邹晓燕及其团队详细评估了胡大叔的情况,决定对其实施“调强放疗”的治疗方案。
经过对胡大叔右侧眼眶、颅底、颅内转移病灶调强放疗后,肿瘤明显缩小。又进行了几次调强放疗后,胡大叔右侧眼球肿胀消失、视力恢复正常。

曾瑞副主任介绍说:“对于不能手术的肿瘤晚期或复发患者,采用局部调强放疗是肿瘤治疗中重要的一部分。事实证明该患者通过调强放射治疗后的效果较好,同时没有明显的不良反应。”

肿瘤·血液病科
副教授
曾瑞
中西医结合副主任医师,肿瘤·血液病科(城北病区)副主任。从事恶性肿瘤临床和教学工作近20年,擅长肿瘤放化疗、免疫治疗和靶向治疗,特别是在头颈部肿瘤、肺癌、恶性淋巴瘤和胃肠道肿瘤以及妇科肿瘤的放化疗和免疫治疗、靶向治疗、中医治疗等方面有较丰富的临床经验。
放疗是放射治疗的简称,它是利用放射线治疗肿瘤的一种局部治疗方法,目前放疗最常用的射线是医用直线加速器。
大约70%的癌症患者需要用放射治疗。放射治疗在肿瘤治疗中的作用和地位日益突出,已成为治疗恶性肿瘤的主要手段之一。
调强放疗,是在普通放疗基础上,在计算机辅助优化程序下,使放射方向与肿瘤的形状一致,同时通过照射野、射束强度的调节,达到杀灭肿瘤照射区域分布均匀,获得最精准的放疗效果。

调强放疗的精准治疗优势
更精确的定位
调强放疗使用先进的影像技术,如CT、MRI等,对肿瘤进行精确的定位和勾画,确保射线剂量准确地照射到肿瘤,避免对周围正常组织的损伤。
更精细的剂量调整
调强放疗可以根据肿瘤的形状和大小,以及周围组织的分布情况,进行剂量上的精细调整。确保每个射线的剂量都能最大限度地覆盖肿瘤,同时减少对周围正常组织的照射。
保护周围器官
调强放疗可以通过精确的剂量调整和定位,最大程度地保护周围的重要器官,如脑、肺、心脏等。可以减少放疗引起的副作用和并发症,提高患者的生活质量。
提高治疗效果
由于调强放疗能够更精确地照射到肿瘤,并且减少对周围正常组织的损伤,因此可以提高治疗效果,缩短治疗时间,减少治疗过程中的不适感。
肿瘤·血液病科









忠山病区:忠山院区2-4楼
电话:0830-3163725
城北病区:第二住院大楼10、11楼
电话:0830-2512571
(来源:西南医科大学附属中医医院)
编辑:游江
关注川南在线网微信公众号
长按或扫描二维码 ,获取更多最新资讯
其他