川南在线 发布时间:2026-04-22
16岁少女持续腹痛

两个月前,16岁的小敏(化名)出现中下腹疼痛,持续性发作,偶尔会加重。同时,大便也出现了异常,每天排便1次,颜色发黄、质地偏干,偶尔伴有便血,排便时也格外费力。起初,家人以为只是普通的肠胃不适,便悉心照料,可腹痛症状始终没有缓解,渐渐影响到小敏的正常生活和精神状态。
异常指标指向恶性病变
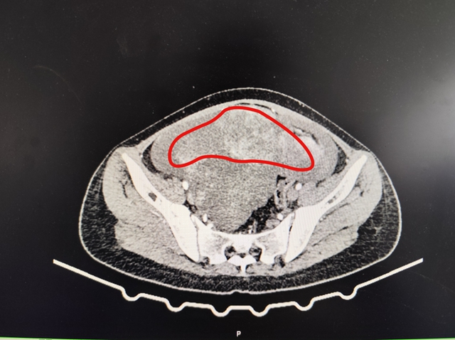
为了让小敏得到及时诊治,家人带着她到西南医科大学附属中医医院就诊。门诊完善肿瘤标志物检查后,结果提示CA125高达175.00IU/ml(远超正常范围);妇科彩超进一步显示,盆腔内有巨大实性肿物,且存在盆腔积液。进一步检查发现,肿瘤最大直径接近20CM,且并非单一肿物,整个腹腔内都布满了肿瘤。结合腹部增强CT检查,考虑恶性肿瘤性病变的可能性较大。


圈出部分为肿瘤区域
面对复杂且严峻的检查结果,肛肠科医护团队第一时间为小敏制定了进一步的检查和治疗方案,建议尽快完善相关检查,明确诊断后开展针对性治疗。
辗转求医,病情加重
然而,由于个人原因,小敏及家属经过慎重考虑后,决定出院,自行寻求中药治疗。出院后,小敏一直口服中药汤剂调理,但腹痛、便血等不适症状不仅没有明显缓解,反而在不知不觉中持续加重。

一个多月后,小敏腹痛加重,转为左下腹持续性隐痛,且疼痛愈发明显,还伴有肛门排气、排便减少的情况。同时,大便形状也发生了改变,每天排便2-3次,颜色发黄、质地偏稀,偶有便血。
家人再次让小敏服用中药汤剂一周后,症状依旧没有改善,看着小敏日渐憔悴的模样,家人心急如焚,当即决定带她前往西南医科大学附属中医医院肛肠科就诊。
多科联动,紧急救治
再次入院时,小敏精神欠佳,身体已十分虚弱。聂贵林医生考虑到她年仅16岁,且病情复杂、诊断尚不明确,第一时间为她完善相关评估,结合入院症状,迅速给出初步诊断:
中医辨证为腹痛、湿热内蕴证,治疗以清热利湿为主;
西医方面,明确诊断为不完全性肠梗阻、结肠恶性肿瘤(疑似)、多发腹腔肿瘤(疑似)、便血待诊,同时合并慢性胃炎。
由于小敏腹腔内肿瘤分布广泛、最大接近20CM,病情疑难复杂,单一学科诊疗难以全面覆盖,为了制定最科学、最安全的诊疗方案,医院立即组织多学科会诊(MDT),邀请妇科、泌尿外科等相关科室专家共同研讨。
经过反复分析、充分论证,最终确定诊疗方向——为小敏实施超声引导下腹腔包块穿刺活检,明确病理类型。结合病理检查结果,小敏的病情倾向于间皮来源肿瘤可能。
随后,在科室主任李五生教授指导下,聂贵林医生为小敏实施了“开腹腹腔肿瘤细胞减灭术”,术中邀请妇科、泌尿外科等相关科室联合手术,彻底切除腹膜、大网膜、受累器官等所有肉眼可见的肿瘤,全力清除腹腔内的病灶,为后续治疗打下基础。
病情好转,向阳而生

经过一段时间的针对性治疗和精心护理,小敏的病情逐渐好转。出院时,她神志清楚,精神状态较入院时明显改善,各项症状较前好转,困扰她许久的腹痛也得到了有效缓解,肛门排气、排便情况也逐渐恢复正常。

聂贵林
硕士研究生
主治医师
(来源:西南医科大学附属中医医院)
编辑:李永鑫
关注川南在线网微信公众号
长按或扫描二维码 ,获取更多最新资讯
其他