川南在线 发布时间:2025-12-23
周一清晨,西南医科大学附属中医医院普外·疝与腹壁外科医生办公室外,黄大爷手捧锦旗,笑意盈盈地伫立着。他静静等候着郭伍斌副教授交班结束,只为亲手送上这份谢意——原来是郭伍斌副教授解决了困扰他多年的顽疾。

造口旁疝,困扰大爷多年
黄大爷11年前因为低位直肠癌做了永久性结肠造口,6年前造口周围开始“鼓包”,并逐渐增大至“芒果”大小,还伴随着便秘、造口脱垂的折磨。他到当地医院就诊,可因基础疾病多、造口疝较大,未予以处理,这枚悬在造口下方的大包成为他心头挥之不去的阴霾。
事情的转机发生在半年前,黄大爷无意间又发现左侧腹股沟有一个可复性包块,想着自己年龄大,有糖尿病、心衰、高血压等基础疾病,他决定去大医院看看,随即挂了西南医科大学附属中医医院普外·疝与腹壁外科副主任郭伍斌副教授的号。
郭伍斌副教授接诊后,迅速为黄大爷明确诊断:左侧腹股沟疝,左下腹巨大造口旁疝。考虑到黄大爷年龄大、基础疾病多、手术风险高,郭伍斌副教授精心制定了分阶段治疗方案:先处理腹股沟疝,如果能耐受手术,术后恢复理想,再来啃造口旁疝这块“硬骨头”。
得知困扰自己多年的造口旁疝终于有了治疗希望,黄大爷欣然接受了这一方案。
2次手术,解决多年顽疾
经过细致的术前评估与血糖调控,郭伍斌副教授团队为黄大爷实施了开放腹股沟疝手术,术后老人恢复良好,不久便出院。
5个月后,黄大爷再次来到郭伍斌副教授的门诊诊室,郭伍斌副教授再次向他详细说明了造口旁疝手术的难度和风险,而黄大爷表示第一次手术恢复得很好,对团队的医术充满了信任,当即办理了入院手续。
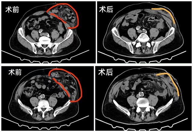
经过充分的术前评估,郭伍斌副教授带领罗伟主治医师、刘飞主治医师等手术团队,为黄大爷实施了腹腔镜下造口旁疝无张力修补术。术中,医生们发现存在腹腔多处粘连,大量小肠及网膜从造口旁疝出并伴有粘连,缺损面积达6*5cm,手术难度陡增。
好在经过3个小时的紧张手术,郭伍斌副教授手术团队顺利完成了手术。黄大爷术后恢复良好,造口下方的大包消失了,便秘及造口脱垂也明显缓解。

一份信任,两次托付,黄大爷多年的顽疾终于得到解决,非常高兴,于是有了开头送锦旗的一幕。
为什么造口旁疝属于复杂疝?
造口旁疝特指在腹腔脏器经手术造口(如结肠造口、回肠造口等)后,腹腔内组织或器官通过造口周围腹壁的薄弱区域突出形成的疝,多发生于造口术后数月至数年,是造口术后常见并发症之一,尤其在永久性造口患者中发生率较高,会显著影响患者生活质量,严重者甚至会出现嵌顿与肠坏死。
因为有造口存在,手术难度较高,目前临床以腹腔镜下造口旁疝无张力修补术为主,相比开放手术,其具有创伤小、恢复快、复发率低的优势。
当然其难度也是显而易见的,首先,疝囊位于造口周围,解剖结构复杂(涉及肠管、造口肠管肠系膜血管);其次,患者多有腹部手术史,腹腔粘连严重,术中需精准分离,避免损伤脏器,同时需确保补片位置合适、固定牢固,避免补片移位或侵蚀周围组织。最后,手术需要确保造口旁疝尽可能不复发的同时,造口功能不受影响,必要时还需重新造口。

(来源:西南医科大学附属中医医院)
编辑:李永鑫
关注川南在线网微信公众号
长按或扫描二维码 ,获取更多最新资讯
其他