川南在线 发布时间:2025-11-29
近日,西南医科大学附属医院骨科与运动医学团队成功为一位百岁高龄股骨颈骨折老人实施半髋关节置换术,并与多科室协作,克服胸腔积液、肺部感染等多重并发症,在病房里度过了一个温馨而特殊的生日。
这不仅是一次医疗技术上的成功挑战,更是骨科与运动医学团队推行“快速康复外科(ERAS)”理念、强化多学科协作与贯穿全程人文关怀的生动实践。

意外来袭,百岁寿诞面临挑战
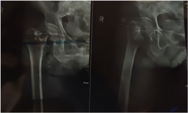
眼看快到百岁生日,杨婆婆却不慎在家中摔倒,导致右侧股骨颈骨折。对于年近百岁的老人,这种骨折被称为“人生最后一次骨折”。家人紧急将她送至西南医科大学附属医院骨科与运动医学中心。
经检查,杨婆婆的身体状况非常复杂。除了严重的右侧股骨颈骨折,她还伴有双侧胸腔积液、肺部感染、心房肥大、三尖瓣返流(重度)、二尖瓣返流(轻度)、心律失常等,这为手术治疗带来了巨大的风险。

多科协作,勇闯高龄手术“禁区”
面对挑战,西南医科大学附属医院迅速启动多学科协作(MDT)模式,组织麻醉科、药学部、呼吸与危重症医学科、心血管内科、胸外科、重症医学科、康复医学科等进行全面评估。
“为近百岁老人手术,本身就是一场高难度的挑战。患者的心肺功能储备差,麻醉和手术创伤都可能引发一系列连锁反应。”杨婆婆的主管医生陈歌教授介绍道,“我们评估后认为,如果选择保守治疗,老人将长期卧床,肺部感染会急剧加重,可能引发呼吸衰竭,危及生命,而手术治疗,尽管风险高,却是让她重新站起来、提高生存质量的唯一希望。”
在制定了周密的手术方案和应急预案后,骨科团队凭借精湛的技术,成功为杨婆婆实施了“半髋关节置换术”。手术时间短、创伤小、出血少,为术后的快速康复打下了基础。“双侧胸腔闭式引流术+心肺康复”有效缓解了婆婆呼吸困难,控制肺部感染。

温馨护理,病房里的特殊生日礼
技术治愈身体,而关怀则抚慰心灵。在紧张的救治过程中,温暖与关爱从未缺席。在杨婆婆百岁生日当天,骨科医护团队手捧鲜花和生日蛋糕,带着全科的祝福来到床前。
“婆婆,祝您生日快乐,早日康复!”突如其来的惊喜,让病床上的杨婆婆露出了久违的笑容。这束鲜花,不仅是一份生日祝福,更是对老人战胜病痛的最大鼓励。

8天创造生命奇迹,康复出院见证医者仁心
在多学科团队的精心治疗和护理下,杨婆婆顺利拔除了胸腔引流管,并在康复治疗师指导下开始了早期的床旁活动。从手术到控制并发症,再到初步康复,总住院时间仅用了8天。

医学的温度点亮了百岁人生的新起点!杨婆婆的康复故事,为无数面临同样困境的高龄患者和家庭带来了信心与希望,也彰显了现代医学在追求技术精湛的同时,所应秉持的人文温度与团队力量。

(来源:西南医科大学附属医院)
编辑:肖昂
关注川南在线网微信公众号
长按或扫描二维码 ,获取更多最新资讯
其他