川南在线 发布时间:2025-11-21
日常生活中,我们常常低估了胸痛的严重性。胸痛可能是许多危险疾病的早期症状,其中包括急性心肌梗死、主动脉夹层和肺栓塞,统称为胸痛三联征。西南医科大学附属中医医院二代双源CT能实现“一站式”胸痛三联检查,及时诊断这些潜在的致命性疾病。

一个真实案例:生命的转折点
近日,55岁的张三(化名)突然感到剧烈的胸痛和呼吸困难。最初,他将这些不适归咎于工作压力和疲劳,但疼痛迅速升级,让他不得不寻求医疗帮助。

术前检查
张三的家人迅速将他送往西南医科大学附属中医医院,这一举动挽救了他的生命。接诊医生通过对症状的判断迅速启动了胸痛三联征“一站式”CT检查(这是一种通过注射造影剂进行的CT检查技术,可以详细观察胸部大血管的结构)。
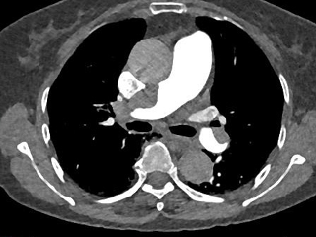
经过检查,医生迅速诊断出张三患有主动脉夹层,需要立即行手术干预。最终张三接受了手术治疗,成功挽救了生命。如果没有及时的“一站式”CT检查,他的情况会迅速恶化,将危及生命。

术后检查
这个真实案例强调了胸痛的凶险性、致命性以及一站式CT检查在及时诊断和治疗方面的不可或缺性。
胸痛三联征:警示危险的信号
在了解一站式CT检查的应用之前,我们需要明白胸痛三联征包括哪些疾病以及为什么需要迅速发现和就诊。
这三种疾病分别是:
急性心肌梗死:指冠状动脉的突发堵塞导致心肌缺血的疾病。它可能在短时间内导致心肌损伤或死亡,危及患者的生命。
主动脉夹层:主动脉壁内膜损伤后,血液通过内膜的破口进入主动脉壁中膜,并在两层膜之间形成血肿,可能导致主动脉破裂,十分凶险。
肺栓塞:指肺动脉主干或其分支中的血栓,可能导致肺部供血不足。重度肺栓塞可能导致呼吸急促、心脏衰竭,甚至死亡。
这三种疾病在早期阶段的症状不典型,可能只表现为胸痛,容易被忽视,但如果能够及时诊断和治疗,患者的生存机会将得到极大的提高。
“一站式”CT检查
胸痛三联征“一站式”CT检查是指通过一次扫描、一次注射造影剂可同时显示冠状动脉、肺动脉及主动脉三种血管的图像,有助于早期、快速诊断,同时可以最大程度降低辐射剂量。因此已成为目前评估急性胸痛患者的首选检查方法。
在胸痛三联征的情况下,“一站式”CT检查具有如下重要应用价值:
1.急性心肌梗死的诊断:“一站式”CT检查可以快速识别冠状动脉的狭窄或堵塞程度,及时帮助医生确认诊断,制定进一步的治疗方案。




2.主动脉夹层的检测:这一检查能够清楚地显示主动脉的解剖结构,帮助医生观察主动脉夹层并确定其位置和严重程度,及时进行干预。
3.肺栓塞的评估:通过一站式CT检查,医生可以识别肺栓塞并评估其大小以及位置,以指导治疗决策。


通过上述介绍,相信大家已经认识到“一站式”CT检查在胸痛三联征的重要性。因此,我们应该在日常生活中更加关注胸痛症状,不要慌乱,迅速就医,以便医生对病情的评估,进而行“一站式”CT检查,争取早发现和早治疗,从而最大程度地保障我们的健康。
(来源:西南医科大学附属中医医院)
编辑:李永鑫
关注川南在线网微信公众号
长按或扫描二维码 ,获取更多最新资讯
其他