川南在线 发布时间:2025-06-12
近日,一位来自兴文县103岁高龄的应奶奶在家中不慎摔伤,导致“人生最后一次骨折”——右侧股骨粗隆间骨折。
西南医科大学附属医院骨与关节外科、麻醉科、康复医学科等多学科团队紧密协作,凭借精湛的技术和先进的快速康复理念,成功为老人进行手术治疗,术后恢复神速。
百岁老人意外摔伤,“人生骨折”来势汹汹
已经103岁高龄的应奶奶身体一直还算硬朗,然而一次意外的摔倒,导致她右侧髋部剧痛、无法动弹。家人紧急将她送往西南医科大学附属医院。
经详细检查,应奶奶被确诊为“右侧股骨粗隆间骨折”。这种骨折常被称为“人生最后一次骨折”,对于百岁超高龄老人而言,风险极高——长期卧床可能迅速引发肺部感染、深静脉血栓、褥疮等一系列致命并发症,保守治疗风险巨大。


迎难而上,多学科协作制定最优方案
面对如此高龄且基础疾病复杂的患者,西南医科大学附属医院高度重视,立即启动高龄骨折患者绿色通道。
骨科团队(精准施治):
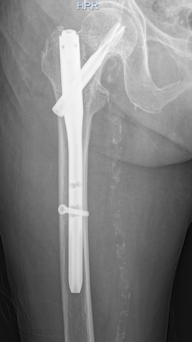
骨科团队迅速评估病情,认为手术治疗是让老人重新站起来的唯一希望,也是降低长期卧床并发症风险的最佳选择。在科主任李忠教授带领下,唐炼副主任医师团队反复研究影像资料,精心设计创伤小、固定可靠的手术方案——微创闭合复位股骨近端防旋髓内钉(PFNA)内固定术。手术仅用时30分钟顺利完成。
麻醉科团队(安全护航):
针对老人心肺功能储备差的特点,左永文副主任医师、俞虹主治医师麻醉团队进行详尽的术前评估,制定周密的个体化麻醉方案,选择对循环呼吸影响更小的神经阻滞麻醉方式,并运用先进监测技术全程护航。
康复医学科团队(早期介入):
康复医学科团队在术前指导家属进行护理要点宣教。术后第二天,康复师即来到床边,在充分评估老人状态后,开始指导进行安全范围内的床上肢体活动、呼吸训练。






令人欣喜的是,在医护团队的精心治疗和康复指导下,术后第三天,百岁老人应奶奶就能在病床上自主坐起,在助行器和医护人员协助下,成功实现了床边站立并迈出术后的第一步!这一突破极大地鼓舞了老人和家属的信心。
笑容重绽,应奶奶顺利出院
经过5天的系统治疗和康复,应奶奶恢复情况远超预期。伤口愈合良好,精神状态佳,可在助行器辅助下短距离行走,生活自理能力得到显著恢复。经综合评估,老人已达到出院标准。
出院当天,奶奶脸上洋溢着幸福的笑容,紧紧握着医护人员的手连声道谢。对西南医科大学附属医院骨与关节外科、麻醉科、康复医学科等全体医护人员的精湛医术、高度责任心和温暖的关怀表达由衷的感激。

科普:关于股骨粗隆间骨折
股骨粗隆间骨折是指发生在股骨颈基底至小转子水平以上区域的骨折。它是老年人最常见的髋部骨折之一,发病率随年龄增长急剧上升。
特点与危害:
“人生最后一次骨折”:因其对高龄患者生命威胁巨大而得名,保守治疗长期卧床死亡率极高。
骨质疏松是主因:骨质疏松使骨骼脆弱,轻微外力(如跌倒)即可导致骨折。
症状明显:髋部剧痛、肿胀、淤血、患肢无法活动(如不能站立、行走)、患肢短缩外旋畸形。
治疗首选手术:对于身体条件允许的患者,早期手术治疗是首选,目标是尽快恢复活动能力,避免卧床并发症。微创技术和快速康复理念的应用极大改善了高龄患者的预后。
西南医科大学附属医院将继续精进技术、优化服务、深化多学科协作,践行快速康复理念,为更多高龄骨折患者托起生命的希望,助力他们跨越“人生骨折”的险关,重享有品质的晚年生活!
医生简介

李忠
骨与关节外科主任、运动促进健康中心主任、骨科副主任
教授、医学博士、硕士/博士研究生导师
四川省卫健委学术与技术带头人
从事临床、教学、科研工作30年,主要从事运动损伤和骨关节损伤修复与重建的临床与基础研究工作,具有扎实的医学基础理论知识及丰富的临床工作经验。在髋、膝及肩关节置换;保髋及保膝治疗;关节韧带损伤;半月板损伤;髌骨、肩关节复发性脱位等运动损伤;关节肿痛、关节活动障碍和骨折、关节镜微创治疗运动损伤等骨关节疾病的临床诊治和快速功能康复方面有较高的造诣。对骨关节科复杂、疑难病症及急、重症病例有丰富的处理经验。对运动损伤、骨关节损伤修复与重建的基础与临床有深入研究。

唐炼
骨与关节外科医疗组长
副主任医师,硕士研究生导师
四川省医学会骨科学专业委员会创伤学组委员
四川省医学传播学会老年骨折骨病专业委员会委员
四川省医学传播学会骨骼运动系统损伤与疾病防治专业委员会委员
四川省医学会高级会员
四川省康复医学会骨与关节专业委员会委员
中国创伤急救培训专家委员会成员
AOTRAUMA大师班成员
美国心脏急救认证成员
四川省川南紧急医疗救援队成员
专业方向:
长期从事四肢创伤骨科临床医疗、教学及科研工作;熟悉多发创伤救治,四肢骨关节骨折、脱位、软组织损伤等常见创伤类疾病修复重建;尤其擅长于上下肢关节周围骨折,骨感染、骨坏死、难愈性创面修复等个体化治疗;上肢肩、肘、腕关节,下肢髋、膝、踝、足关节等慢性疼痛的治疗指导。
门诊:
周二上午忠山院区门诊08:00-11:30
周三下午康健中心院区门诊 13:00-16:30

刘彦士
副教授 医学博士
中国康复医学会修复重建外科专业委员会骨延长学组委员
专业方向:
擅长四肢创伤及关节相关疾病的诊治,具有丰富的四肢骨折、脱位、软组织损伤、骨不连、骨缺损、骨髓炎以及肢体畸形等疾病的诊疗经验。
致力于骨关节损伤的修复重建临床与基础研究工作。主持省级自然科学基金项目1项,厅级自然科学基金项目1项,参与国家自然科学基金项及省、市级科研项目多项,以第一(或共同第一)和通讯作者身份共计发表SCI论文28篇。
门诊:
周四下午康健中心院区门诊 13:00-16:30

王冠
主治医师,医学博士
专业方向:
主要从事四肢骨关节创伤与修复重建、畸形矫正、保膝保髋治疗、骨关节病以及运动损伤相关临床工作,具有丰富的四肢创伤(包括骨折、脱位、软组织损伤、骨不连、骨缺损、内固定翻修、骨感染等)治疗经验,尤其擅长四肢复杂骨折处理、髋部骨折微创治疗,复杂膝关节周围骨折治疗,保髋、保膝(包括股骨头坏死保髋治疗,髋关节周围截骨,膝关节周围截骨、关节内截骨等)治疗,四肢各类畸形(包括膝关节内外翻畸形、肢体短缩畸形、各类先天性发育畸形、各类创伤后遗症畸形等)的矫形治疗。近年来,主持市厅级、校院级科研课题4项,在国内外期刊发表论著10余篇。
门诊:
周三下午忠山院区 13:00-16:30

李洋
骨与关节外科医师
擅长:足踝常见疾病的诊断与治疗;足部与踝关节的骨折诊断与修复重建的治疗;四肢骨折、老年骨折等创伤疾病的诊断与治疗;骨感染、骨坏死Ilizarov技术运用;四肢、关节退行性改变的治疗;主持科研项目2项,在国内外核心期刊发表多篇论著,其中第一作者SCI收录三篇。多次参加全国、四川省学术会议并投稿发言。2021年曾获得西南医科大学附属医院“正能量青年”荣誉称号。多次获得西南医科大学“优秀兼职班主任”称号。
门诊:
周三下午康健中心院区足踝外科门诊 13:00-16:30
(来源:西南医科大学附属医院)
编辑:李永鑫
关注川南在线网微信公众号
长按或扫描二维码 ,获取更多最新资讯
其他