川南在线 发布时间:2022-12-19
近日,西南医科大学附属医院神经外科成功地为一名89岁的新冠阳性患者余婆婆实施了颅内血肿清除手术,助患者脱离生命危险。


术后合影
12月11日,余婆婆在家中突发头痛、呕吐,随即出现昏迷,家属赶紧将她送到西南医科大学附属医院(康健中心院区)抢救。急诊CT提示为左侧基底节区高血压性脑出血,出血量高达约60ml,更为不利的是,此时,余婆婆的新冠病毒核酸检测结果显示阳性。


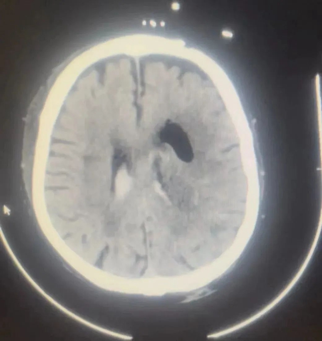
术前术后影像对比
“老人因为高血压病导致脑出血,已经持续昏迷了4个小时,如果不及时手术,随时可能出现呼吸心跳骤停,威胁生命安全。”神经外科主任陈礼刚教授表示,患者超高龄,患有较多的基础病,是否能够承受住手术,是大家的顾虑所在。为此,专家们对患者实施了充分的手术风险评估,排除了手术禁忌,患者家属也消除了思想顾虑,并同意微创手术。
“最有效的处理措施,就是通过清除脑内血肿、降低颅内压。”在陈礼刚教授的统筹协调下,神经外科积极完善术前准备。12月11日,在主刀医生(李慎杰、田俊杰)、手术室医护人员(李青青、莫舻)、麻醉科医生(刘清湄、代俊超)的密切配合下为患者完成了急诊微创颅内血肿清除手术。术后复查颅内血肿清除满意,术后次日患者就已苏醒,并能单独完成睁眼闭眼、抬手、握手、牵铺盖等动作。
(来源:健康西南 文/陈猛 图/科室提供)
编辑:李永鑫
关注川南在线网微信公众号
长按或扫描二维码 ,获取更多最新资讯
其他