川南在线 发布时间:2022-11-15
去年11月,47岁的张女士出现了左侧肋部隐痛不适,到当地医院检查,诊断为脾脏增大、贫血、白细胞和血小板减少。经过治疗,症状非但没有缓解,脾脏还在进一步增大。
今年1月,张女士被诊断为肝脾T细胞淋巴瘤。为寻求治疗,她便来到了西南医科大学附属中医医院肿瘤·血液病科(城北病区)。

图片来源网络
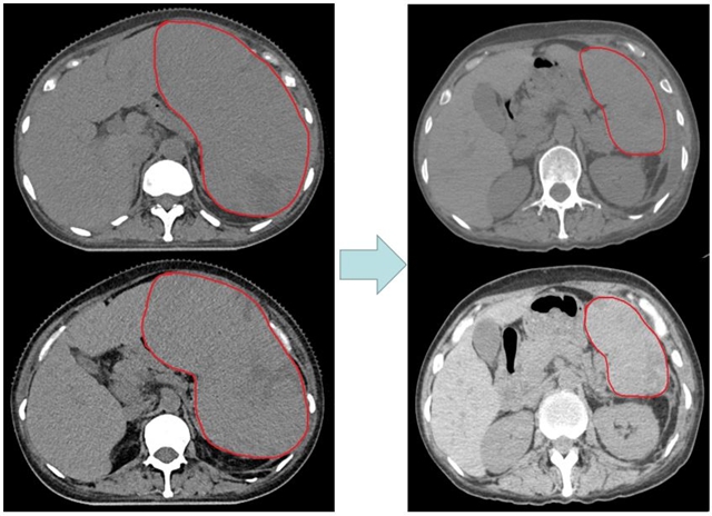
“患者刚入院的时候挺着个大肚子,像是怀胎10个月似的。”主管医生李阔回忆着说道。通过CT检查,结果提示张女士的脾脏明显增大,最大直径已达20.5cm。
两个周期的化疗后,治疗效果不佳,科室立即组织专家会诊,决定采用放射治疗。
2022年3月10日,医生开始对张女士的“巨脾”进行放疗。放疗过程中,脾脏快速缩小。

肿瘤·血液病科(城北病区)副主任兼肿瘤放疗中心主任庞军教授说:“为了让肿瘤得到精确照射,减少对其周围正常器官的照射,我们为患者缩野(随着肿瘤缩小放疗照射范围跟着缩小)2次。”
28次放疗结束后,张女士原来的“大肚子”消失了。治疗半年后多复查CT,脾脏大小恢复正常。


庞军 教授
肿瘤·血液病科(城北病区)副主任兼肿瘤放疗中心主任
庞军教授提醒大家:脾脏是人体的一个重要的免疫器官,除了调节免疫之外,还有清除老化坏死的血细胞等功能。
原发于脾脏的恶性肿瘤较少见,其中肝脾T细胞淋巴瘤是一种罕见疾病,其特点是肝脾肿大,全血细胞减少,最常见的是血小板减少。同时,其生长速度快,容易出现扩散和转移。
除此之外,肝硬化患者常常伴有脾脏增大、脾功能亢进,导致白细胞和血小板减少等症状,一般药物治疗基本无效,对于这类患者也可以进行放射治疗。
肿瘤·血液病科










忠山病区:忠山院区2-4楼
电话:0830-3163725
城北病区:第二住院大楼10、11楼
电话:0830-2512571
(来源:西南医科大学附属中医医院)
编辑:李永鑫
关注川南在线网微信公众号
长按或扫描二维码 ,获取更多最新资讯
其他