川南在线 发布时间:2022-07-24
今年81岁的胡爷爷两年前因“间歇性排尿困难”入院,经穿刺病理活检诊断为“前列腺癌”,通过治疗后病情尚且稳定。
半年前,胡大爷又出现了颈部、腰部及髋部疼痛,活动受限伴头昏头痛。PET-CT检查发现是肿瘤进一步发展,侵犯了膀胱和直肠,颈椎、腰椎及骨盆等也有多处骨转移,腹膜后、盆腔淋巴结及右侧腰大肌转移。

多处转移,痛得胡爷爷已经不能正常下地走路,严重影响了胡爷爷的生活,经朋友介绍后,找到了西南医科大学附属中医医院肿瘤·血液病科(城北病区)副主任兼肿瘤放疗中心主任庞军教授。
“患者入院的时候都是他儿子推着轮椅送来的,双下肢从脚趾到大腿根部、阴囊都已经出现严重水肿,还伴有腰痛,看起来非常痛苦。”庞军教授回忆到。
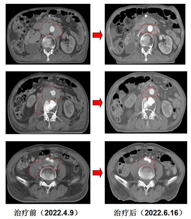
仔细查看了胡爷爷的身体情况后,庞军教授组织了医院泌尿外科、肾病科、骨伤科脊柱·肿瘤一组、乳腺·甲状腺·血管外科、放射影像科(核磁共振组)等多学科会诊,结合胡爷爷的具体特点,针对腹膜后转移病灶压迫下腔静脉引起的水肿和疼痛,制定了“短程分段冲击放疗”的治疗方案。

短程分段冲击放疗是指将常规放疗需要连续30多次的治疗分为两段,每段治疗约10余次,每次的治疗剂量较常规分次治疗的剂量要大,能快速杀伤肿瘤细胞。
庞军教授解释说:“短程分段冲击放疗能给患者一个缓冲的时间,让身体得到一些恢复后再进行下一阶段的治疗,减小了较长时间连续治疗的副作用,患者心理上也容易接受,特别适合年老体弱的病人。”
在肿瘤·血液病科董娅主管医生、放疗物理师和技师团队的配合下,经过10次的放射治疗,胡爷爷的水肿和疼痛逐渐减轻。
放疗后2个月,胡爷爷来院复查时已经可以行走了,双下肢的水肿完全消失,复查CT见腹膜后转移的淋巴结及右侧腰大肌转移病灶明显缩小,等待进一步治疗。

据庞军教授介绍:
放射治疗是肿瘤治疗的主要手段之一,针对某些早期肿瘤可以单独通过放疗治愈;针对局部中晚期肿瘤可以联合化疗、靶向治疗、免疫治疗和中药联合治疗取得较好的疗效;针对晚期转移性肿瘤,可以很好地控制、缩小,甚至消除局部病灶,起到减轻痛苦、解除压迫和梗阻,提高患者生存质量、延长生存期。(来源:西南医科大学附属中医医院)
编辑:邱果
关注川南在线网微信公众号
长按或扫描二维码 ,获取更多最新资讯
其他