川南在线 发布时间:2022-05-01

国家集中带量采购人工关节
在西南医大中医院落地实施
关节疾病患者有福啦
泸州71岁的陈奶奶,最近10年来一直饱受右膝关节疼痛的困扰,保守治疗效果不佳。
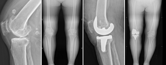
近日因疼痛显著加重、活动受限、影响睡眠来到西南医科大学附属中医医院骨伤科关节·足踝组就诊。医生诊断其为右膝重度骨性关节炎,需进行右侧人工全膝关节置换。

“我们医院积极响应国家政策,国家集采的人工关节正式投入使用,费用可以节省30000多元。”医生告诉陈奶奶及其家属。
原来,国家人工关节集采政策于2022年4月20日起在四川正式落地执行,人工关节费用降价82%左右。以前人工关节费用接近4万元,陈奶奶因家里经济困难,一直没有做手术置换膝关节,而这次手术使用的人工关节才4000元不到。

4月21日,骨伤科关节·足踝组团队顺利为陈奶奶实施了右侧人工全膝关节置换手术。
“感谢国家的好政策,谢谢骨伤科关节·足踝组所有医护人员……”陈奶奶的儿子江先生激动地说。

据了解:2022年4月20日起,国家组织人工关节集中带量采购在四川省落地执行,髋关节平均价格从35000元下降至7000元左右,膝关节平均价格从32000元下降至5000元左右,平均降幅达82%,正式宣告人工关节告别“万元时代”。
“泸州地处长江、沱江交汇处,群众饱受寒湿之邪袭扰,患有关节炎的患者数量庞大,晚期髋膝关节骨性关节炎,只有实施关节置换才能缓解症状、改善生活质量。集采的人工关节正式落地西南医科大学附属中医医院,泸州及周边地区的关节炎患者就医费用就大幅降低了。”大骨科主任兼骨伤科关节·足踝组主任扶世杰教授说。
骨伤科关节·足踝组











科室开展了全关节镜下的肩袖损伤修复术、盂唇损伤修复术、肩锁关节脱位的韧带重建术、肩关节不稳的Latarjet术、上关节囊重建术、反肩关节置换术、肘关节清理松解术、肘关节置换术、腕关节清理修复术、髋关节清理、盂唇损伤修复技术及关节镜下半月板成型、缝合、固定术,半月板移植术,膝关节脱位多组韧带重建术及翻修术,后内双入路的全踝关节镜技术、踝关节不稳的韧带重建术,自体软骨移植术以及各种关节镜辅助下的关节内骨折微创手术、关节镜辅助下的小切口肩、髋、膝关节置换术,小切口髋、膝、肩、肘、踝及其他小关节置换术及翻修术,股骨头坏死保髋治疗术,关节截骨矫形技术等。
住院部地址:第一住院大楼13、14楼
咨询电话:0830-2523352,3161901
(来源:西南医科大学附属中医医院)
编辑:肖昂
关注川南在线网微信公众号
长按或扫描二维码 ,获取更多最新资讯
其他