川南在线 发布时间:2026-04-22
三个月前,戴某崴脚后就反复发生踝关节疼痛、肿胀,严重影响日常生活。多方打听咨询后听说西南医科大学附属中医医院骨伤科关节·足踝组在此方面诊疗经验丰富,遂至科室张磊教授门诊就诊。
经仔细查体并完善相关检查后,诊断其为“右踝关节距骨骨软骨损伤”,鉴于病情反复,软骨损伤面积较大,建议住院手术治疗。

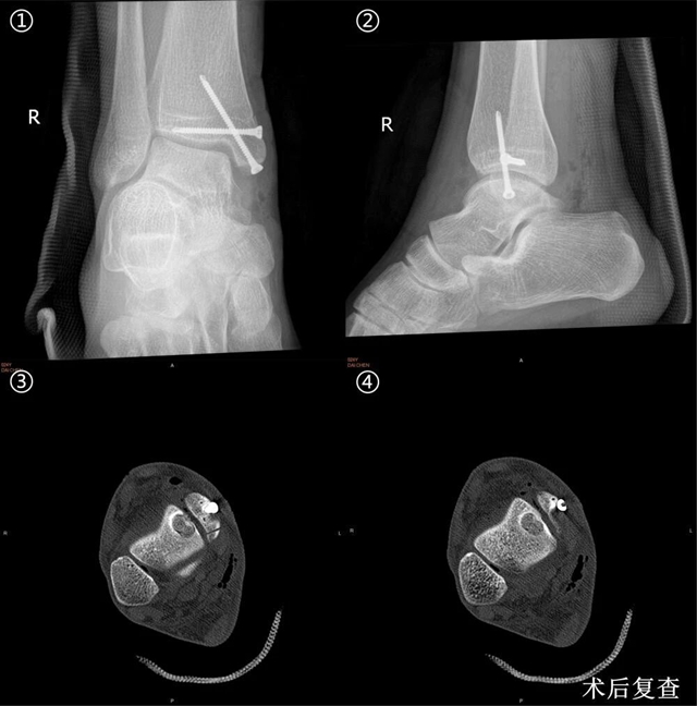
在科室副主任关钛元教授组织专家经过认真讨论后,认为其软骨损伤面积超过120m㎡,损伤深度超过12mm,并且伴软骨下骨囊肿形成,分型为Hepple V型,保守治疗及微骨折术治疗疗效有限,后期可能发展为创伤性踝关节炎,张磊教授建议行“踝关节镜检清理+新型半斜型内踝截骨+取同侧膝关节软骨行马赛克软骨移植术。”

据张磊介绍,新型内踝截骨方式的优势所在:
新型截骨采用独特的槽型结构,并配合30°倾斜角,提供了充足的手术视野,可充分暴露距骨内测病损;
仅截断内踝前2/3,保留后1/3骨质连续性,截骨量减少,同时不破坏胫后肌腱,以维持踝穴整体结构和韧带张力,减少对踝管内结构激惹;
相比传统截骨方式,更有利于复位及截骨断端固定,两枚垂直交叉螺钉进行固定,抗旋转力和剪切力更强,显著提升固定效果。
术后,骨伤科关节·足踝组团队为患者制定了中西医结合的个体化康复方案。
术后早期予踝关节制动、冰敷、抬高患肢,结合艾灸、穴位贴敷、中药涂擦等中医外治法,通经活络、行气活血等治疗;伤口稳定后采取中医弹拨、点按手法松解等改善关节活动度,拆线后根据中医辨证配合五黄液专科熏洗方、芩黄散瘀止痛酒等专科制剂活血化瘀、行气止痛;后期配合运动疗法逐渐恢复关节功能。


张磊
主任中医师
硕士研究生导师
四川省岐黄菁英人才

关钛元
硕士研究生导师
中西医结合主任医师

周鑫
博士研究生
主治医师
(来源:西南医科大学附属中医医院)
编辑:李永鑫
关注川南在线网微信公众号
长按或扫描二维码 ,获取更多最新资讯
其他