川南在线 发布时间:2025-08-06
家人们!谁懂啊!
脖子疼、胳膊麻,以为是加班加多了?结果一查,嚯!颈椎间盘突出!

“颈椎间盘突出很多人都有,不算啥”,错!
泸州这位老哥的颈椎间盘突出,“离家出走”得有点远,还专挑“雷区”蹦迪!
迷路的椎间盘去了哪?
别人家的椎间盘突出,一般在脖子中段(C3-C7)搞事情。
而泸州李大哥的椎间盘一路狂奔,直接“位移”到了脖子和胸口的交界处——C7-T1! 这个位置,堪称手术雷区。

术前MRI表现
为啥叫“雷区”?因为在这个狭小的区域,有给全身供淋巴液的“生命管道”胸导管、掌管发声的喉返神经... 密密麻麻全是重要结构!
如果按照传统手术方案,为了摘这个“炸弹”,可能得开胸劈骨!
风险高、难度大、创伤狠、恢复慢……光是想想,脖子就更疼了。
BUT!别慌!
泸州市人民医院疼痛科胡滨主任团队,亮出了颠覆性的“泸州方案”——经椎弓根内侧缘入路脊柱内镜技术。

这项微创技术仅通过微小切口(<8mm)磨除部分T1椎板和椎弓根,直达病灶精准摘除髓核。

把那个“离家出走”还卡在危险地带的椎间盘碎片,稳!准!狠!地揪出来!

术后患者疼痛显著缓解,手术效果立竿见影,经过短期锻炼后康复出院。
创伤小、恢复快、费用低,这项技术为无数面临“开胸大手术”的患者点燃了新希望,填补了我院疼痛科脊柱微创技术在全国疑难脊柱疾病领域的重要空白!

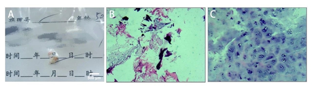
术后病检提示送检组织是退变的髓核组织(A)手术标本 (B-C)病检HE染色

患者术后复查CT三维重建图像
受邀在全国年会作专题报告
这么厉害的案例,当然藏不住!
7月18-20日,中国疼痛医学界的年度巅峰盛会——中国医师协会2025年疼痛科医师年会在合肥隆重举行。此次年会汇聚了来自全国各地的疼痛医学领域专家、学者及从业者,共同探讨疼痛医学的临床经验。大会期间共录用我院疼痛科团队论文2篇,1篇做专题报告、1篇为壁报交流。
泸州市人民医院疼痛科主任胡滨、青年医师张博涛应邀参会,并在大会上展示了疼痛科团队在疑难脊柱疾病微创治疗方面的创新成果,并进行专题报告。

疼痛科主任胡滨(左)、疼痛科医师张博涛(右)
张博涛医师的这项专题报告,因其病例的罕见性和技术的创新性,受到了参会专家的关注。其详细研究内容已获得国际学术期刊认可——即将以Case Report形式发表于SCI期刊Asian Journal of Surgery (IF=3.8)。张博涛医师为第一作者,胡滨主任担任通讯作者。从全国讲台到国际期刊,这标志着该病例的研究价值得到了国内外同行的初步肯定!

青年医师张博涛做专题报告
同时,郭茂副主任医师的研究入选大会壁报展示,展现了科室在慢性疼痛机制领域的初步探索。
此次“青年发言+壁报交流”的组合突破,是我院疼痛科在胡滨主任带领下,长期坚持“临床与科研并重”发展路径的阶段性成果体现。通过此次大会交流,我院疼痛科的临床诊疗能力与科研创新水平正在逐步获得全国同行的认可。
疼痛科主要开展对颈肩腰腿痛、神经痛等疼痛性疾病的诊疗。以微创治疗疼痛为特色,如:脊柱内镜微创手术治疗颈、腰椎间盘突出;脊髓电刺激调控术治疗带状疱疹性神经痛、糖尿病足痛;鞘内吗啡泵植入术治疗中晚期癌痛;三叉神经球囊压迫术治疗三叉神经痛;颈椎等离子消融术治疗颈椎间盘突出;椎间盘胶原酶溶解术治疗腰椎间盘突出;脉冲射频、神经阻滞技术治疗各类慢性颈肩腰腿痛。
咨询电话:15328408055
(信息来源:泸州市人民医院)
编辑:李永鑫
关注川南在线网微信公众号
长按或扫描二维码 ,获取更多最新资讯
其他