川南在线 发布时间:2025-05-26
关爱银龄肌肤,我们在行动!

2025年5月25日是全国护肤日,合江县中医医院医学美容中心医护人员走上街头为环卫工人送福利啦!
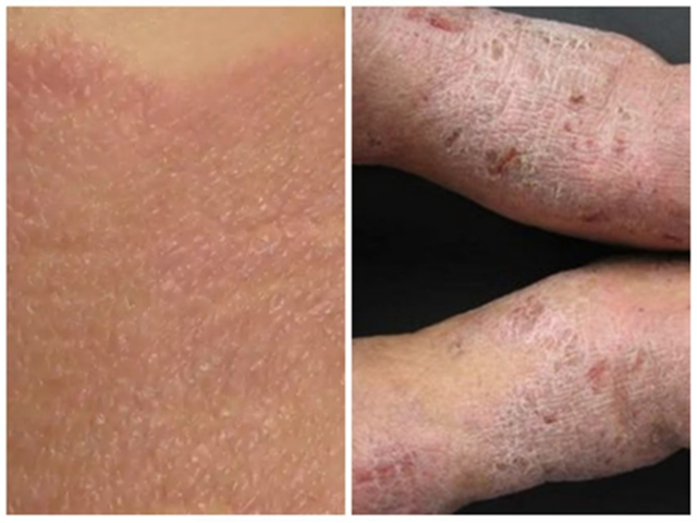
皮肤作为人体内外环境联系的主要屏障,皮肤与其他器官一样经历老化的过程,包括皮肤功能减弱、皮肤免疫失调等。皮肤老化不仅影响美容,还与许多皮肤疾病发生密切相关。
皮肤老化表现
皱纹、弹性下降、松弛和下垂。

各种色斑:黄褐斑、脂溢性角化等。

皮肤衰老时,表皮角质细胞会出现不规则增生,头面部曝光部位更明显,严重者易出现各种皮肤恶性肿瘤。

皮肤老化影响因素
内源性皮肤老化与年龄有关,随着年龄增长出现的皮肤松弛、皱纹及老年斑等。
外源性皮肤老化是由环境因素如日光(主要是紫外线)、吸烟、风吹、接触化学物质等外源性因素引起皮肤老化。其中日光长期反复照射引起的皮肤老化又称为光老化,是环境中影响皮肤衰老的最重要的因素,主要表现为暴露部位粗糙、皱纹加粗、组织结构异常、不规则色素沉着、血管异常,甚至可能出现各种良恶性肿瘤。所以防晒在保护皮肤方面尤为重要。
皮肤老化易患皮肤疾病
皮肤干燥与瘙痒症

皮炎湿疹

真菌感染

皮肤肿瘤和大疱性皮肤病

日常皮肤如何科学护理
1、清洁与保湿
皮肤清洁可根据个人肤质和气候调整,干性皮肤可适当减少清洁次数,洗澡时间不宜过长,水温不宜过高可控制在37℃—40℃,动作轻柔避免摩擦,避免使用碱性肥皂或强力清洁剂,选择弱酸性、无皂基的沐浴露或洁面乳。清洁后及时涂抹保湿剂。

2、科学防晒
选择合适的防晒产品
SPF与PA值:建议选择SPF30+(日常)至50+(户外)、PA+++以上的广谱防晒霜。

成分安全:优先选择物理防晒剂(如氧化锌、二氧化钛),刺激性小,适合敏感肌;若皮肤干燥,可选含保湿成分(如甘油、透明质酸)的防晒霜。
使用方式:应在出门前15-20分钟涂抹,每2小时补涂一次;若出汗或户外游泳后需立即补涂。
避免强紫外线时段外出
上午10点至下午4点紫外线最强,尽量减少外出,若必须出门做好防护,尽量在阴凉处活动。
物理遮挡防护
衣物:穿深色、密织的长袖衬衫、长裤,UPF(紫外线防护系数)50+的防晒衣更佳。
帽子:选择宽帽檐(帽檐>7.5厘米),遮盖面部、耳朵、颈部。
太阳镜:佩戴UV400标准的太阳镜,保护眼睛免受紫外线伤害(预防白内障、黄斑变性)。
营养与皮肤健康
保证充足水分摄入,老年人可分多次每天饮水1500-2000ml。饮食方面可多吃富含维生素A(如胡萝卜)、维生素C(如橙子)和维生素E(坚果)的食物,同时也可摄入富含优质蛋白的食物如鱼类、豆类等促进皮肤细胞修复与再生。保证充足睡眠,选择天然面料宽松舒适衣物。
这些情况需及时就诊
急性过敏反应
短期内出现全身皮疹,并伴随以下任一症状:
呼吸困难、喉头水肿(如眼睑、嘴唇肿胀、喘不上气)
血压下降、意识模糊(提示过敏性休克)
此类情况需立即急诊处理,延误可能危及生命。
突发性严重症状
大面积红肿、水疱伴剧烈疼痛,快速扩散的皮疹伴发热、乏力,建议及时就诊明确病因。
皮肤护理误区
误区一:老年人不怕晒黑,不需要防晒
解释:日晒是导致皮肤衰老的主要原因,除了皱纹和肤色暗沉,还会引起日晒伤或导致部分光敏感的老年人反复遭受慢性日光性皮炎,更严重的是长期暴露于太阳辐射会增加黑色素瘤、基底细胞癌及鳞状细胞癌的风险,因此日晒不止关乎美观,更关乎健康。
误区二:皮肤瘙痒用热水烫一烫就好了
解释:热水烫洗虽然能通过暂时的痛感使大脑屏蔽掉瘙痒的感觉,缓解一时之痒,但高温可破坏皮肤屏障功能。带走皮肤表面油脂和水分,会使皮肤更加干燥,瘙痒加剧。
误区三:脸上长“老年斑”只是不好看,不用就医检查
解释:老年斑在医学上称为脂溢性角化,一般是良性的,但有些也需要接受专业诊断,进行皮肤镜甚至病理检查,确定长的是脂溢性角化,而非病毒疣或皮肤肿物。
合江县中医医院医学美容中心
咨询电话:0830-2811178
医学美容中心简介
医院医学美容中心是国家三级医院美容专科,开设中医美容、美容外科、皮肤(激光)美容三个专业。拥有技术精湛的专业医疗队伍,其中高级职称2人、中级职称4人、初级职称1人。诚信、专业、领先、安全、健康是我们的宗旨。
开展项目:
1. 中医美容:中心中医治疗优势及特色病种有:带状疱疹、湿疹、银屑病、脱发、黄褐斑及白癜风,开展中西医结合治疗,疗效显著。
(1)运用中药洗剂进行头皮洗护,联合微针等综合治疗脱发,止脱、生发效果显著;
(2)口服药物联合中医治疗黄褐斑;
(3)穴位注射、电针、腕踝针等治疗带状疱疹神经痛;
(4)舒敏之星修复皮肤屏障,治疗敏感肌肤、激素依赖性皮炎等;
(5)穴位注射、穴位埋线等治疗慢性荨麻疹、结节性痒疹,火针治疗结节性痒疹等;
(6)火针联合水光、点阵激光治疗痤疮、酒糟鼻等;
(7)刺血拔罐联合中药封包治疗皮肤痈疖、昆虫咬伤。
2.美容外科:
(1)面部外伤美容缝合;
(2)面部眼综合美容手术:双眼皮、眼袋等;
(3)厚唇修薄、薄唇增厚、唇裂畸形的一期及二期整形修复;
(4)新式微创腋臭术;
(5)肉毒素注射除皱、瘦脸、紧致、提拉、天鹅颈、瘦小腿;
(6)玻尿酸、胶原蛋白等填充注射;
(7)脂肪抽吸、填充术等;
(8)瘢痕整形修复术;
(9)先天性畸形修复术;
(10)体表肿瘤包块切除及修复术。
3.皮肤(激光)美容:科室拥有二代黄金超声炮、1064皮秒激光、CO2点阵激光、激光无痛脱毛仪器、光子治疗仪、舒敏治疗器、激光生发仪等先进设备。
现开展:
(1)微创无创面部年轻化综合方案(光电、注射、美塑疗法);
(2)各种色素性疾病(如伊藤痣、雀斑、老年斑等);
(3)水光针注射;
(4)面颈部肤质肤色调整;
(5)微创腋臭、多汗症;
(6)妊娠纹及各种瘢痕微创无创治疗;
(7)无痛脱毛;
(8)面部抗衰及身体中西医亚健康状态调整;
(9)全身及局部肥胖中西医治疗;
(10)纹眉、纹眼线等。



(信息来源:合江县中医医院)
编辑:李永鑫
关注川南在线网微信公众号
长按或扫描二维码 ,获取更多最新资讯
其他