川南在线 发布时间:2022-04-08
“现在,我家爷爷恢复得很不错,已经能走动了。谢谢医生们。”近日,泸州市中医医院骨科成功为102岁的王大爷进行髋关节骨折手术。术后,老人已能下床走路,老人的孙子王先生感激之情溢于言表。

不慎摔倒,百岁老人发生骨折


家住纳溪区打古镇的王大爷已经102岁高龄,平时身体健康,生活都还能自理。“爷爷身体一直都挺好,虽然100多岁了,但是耳聪目明,也不糊涂,还能在家煮饭、喂猪。”王先生说起爷爷很自豪。
今年3月初,王大爷不慎在家中摔倒,左腿痛到无法下床,家人赶紧将老人送到泸州市中医医院骨科救治。到院后,医院立即启动绿色通道,让老人快速入院、接受全面检查,并进行多学科会诊后制定了详细手术方案,王大爷入院的第二天,便进行了手术。
“幸好及时进行了手术。现在,爷爷还在继续进行康复训练,各方面恢复得不错,也能下床走路。爷爷身体好了,我们照顾起来也轻松多了。”王先生说。

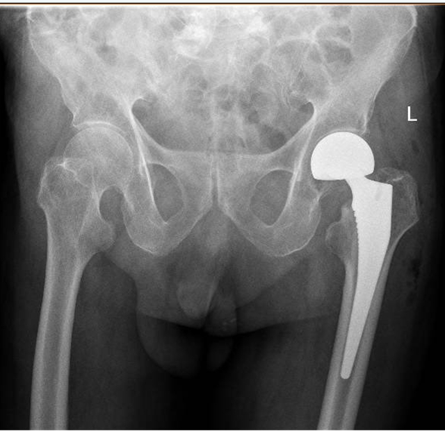
“王大爷入院时,检查发现左侧股骨颈骨折,也就是我们常说的‘髋关节骨折’。老人发生髋关节骨折,也被称为‘人生最后一次骨折’,死亡率近60%。让人痛心的是很多老人是死于骨折后长期卧床导致的并发症。”泸州市中医医院骨科主治医师吴东海介绍,老人发生骨折后,如果采用保守治疗,长期卧床容易发生压力性损伤、尿路感染、肺部感染等并发症,生活质量几乎无从谈起,更有可能因并发症威胁到生命。比较好的解决方案是尽快进行手术,让老人重新站起来,减少并发症的发生,提高生活质量,也减轻家人的负担。
及时手术,老人快速康复


每年,泸州市中医医院骨科都要接诊数百例老年骨折患者,为了让老人们尽快重新站起来,医院特别开通了老人髋部骨折绿色通道,实现快速入院、快速手术、快速康复。
“像王大爷这样的超高龄老人无论在生理结构,还是在功能上各系统器官均有明显‘老化’,伴有高血压、严重的骨质疏松等多种病变,加上骨折部位疼痛,如果卧床时间过长,极易发生各种并发症。尽量缩短卧床时间,尽快进行手术,是康复的关键。”吴东海介绍,高龄老人的骨折手术难度高,还需要强有力的麻醉、护理、康复、内科等多学科团队的配合,才能实现快速康复的目标。
“通过团队的默契配合,王大爷的手术我们仅用30多分钟就顺利完成,术中出血量不到50ML,做到了手术时间少,出血少,把各种风险降低到最小化。手术后,配合术后护理、内科治疗、中医手法康复等,让老人获得了快速康复。”吴东海说,随着技术的进步,越来越多的高龄患者得益于先进的综合治疗方法,这将让更多的高龄患者提高生活质量,重新焕发新活力。
泸州市中医医院骨伤三科(关节、运动医学)
骨伤三科重点专业技术:髋、膝骨关节外科、运动医学关节镜技术等关节伤病的治疗。以收治髋膝关节疾病和运动医学(关节镜)损伤治疗为主的特色科室。主要是对髋、膝关节疾病如先天性髋关节复位、髋关节发育不良、股骨颈骨折、股骨头坏死、股骨粗隆骨折、膝关节周围骨折、髋膝关节炎、膝关节半月板、交叉韧带损伤、肩踝运动损伤疾病等综合治疗,采用现代先进理念和技术进行股骨头坏死早期控制、髋、膝关节置换、骨折的内外固定等治疗手段,帮助患者最快恢复健康。关节镜专科治疗各种关节疾病,如关节半月板损伤、膝关节叉韧带断裂,肩周炎、肩袖损伤、踝关节滑膜炎、关节游离体取出、关节软骨损伤修复重建等。
科室主任:李彬
科室副主任:茶晓峰
24小时服务电话:0830-3127793
(来源:泸州市中医医院 文|刘墨 林正宇 图|张敏)
编辑:李永鑫
关注川南在线网微信公众号
长按或扫描二维码 ,获取更多最新资讯
其他