川南在线 发布时间:2021-09-30
“我‘考试’去了,你们不要担心”。8月27日上午8点,92岁高龄的李谨行老人被推进了泸州市中医医院的手术室,进手术室前,老人乐观地宽慰着儿女们。
此番,医生将为老人进行骨科手术,若手术成功,老人将结束几乎瘫痪在床的日子;老人同时还患有腰椎管狭窄症等17种疾病,这样的情形下,无论是对老人的身体还是医生而言,都是一种挑战,若手术失败,对家人将是更加痛苦的结果。
一生要强又豁达的李谨行劝服了家人和医生,甚至对医生嘱咐道,若是自己下不了手术台,就捐献出自己的遗体,为医学和社会做一点自己的贡献。

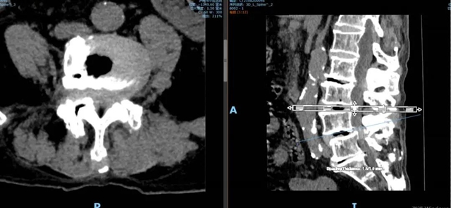
腰4 5 椎间盘CT

腰4 5 椎间盘 MRI

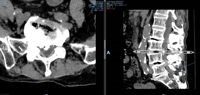
腰5骶1椎间盘CT

腰5骶1椎间盘MRI
挑战“大考”:92岁老人身患17种疾病坚持要手术
手术室外,李定敏(李谨行的女儿)焦急地等待着,据她介绍,三年前,父亲就因腰痛和双腿疼痛在别人介绍下来到泸州市中医医院寻求治疗,但当时他刚刚做完脑梗塞手术,身体情况不具备再次手术条件,在医生的建议下选择了保守治疗。
此次他因病情加重,疼痛已经导致无法下地行走,几乎要瘫痪在床,甚至用上了尿不湿,一生要强的李谨行再次在家人的陪同下来到医院,下定了决心要做手术。

泸州市中医医院骨伤二科主治中医师胡建超介绍,李谨行老人患有腰椎管狭窄症 、腰4椎I°滑脱 、脊柱退行性侧弯畸形 、冠状动脉粥样硬化性心脏病、心律失常、高血压2级等17种疾病,同时处于慢性阻塞性肺病加重期和脑梗塞恢复期。92岁、全身多种疾病,随时可能会有突发情况,要做这样一个大手术,对医生和患者来说,无疑都是一个巨大的挑战。
全力“备考”:各科室专家十余次会诊
这个手术做还是不做?
泸州市中医医院组织骨科、心衰中心、麻醉科等专家一起会诊了八次,也把手术风险告知了李谨行老人的家属。就在大家都犹豫不决时,李谨行老人找到医生,他拉着医生的手问:“我的骨头还有没有用?如果我下不了手术台,那我就把遗体捐献了,需要签什么字吗?”医生们安慰他,手术都还没做呢,就别想着身后事。
看着医生似乎不太想给他手术的样子,他以为是怕儿女们找医院麻烦,李谨行急了,他说:“你们尽管做,如果真出了什么事我的家人绝对不会找你们麻烦,就当我是为医学做实验做贡献。”
一位身患重病的老人在生死面前,是如此的豁达,甚至还想着为社会做一份贡献,医院的医生护士们都为之感动。“考虑到患者本人迫切想要手术的意愿和他坚强的意志,看着他确实疼痛难忍,我们在他家人的同意配合下,评估了老人身体情况,决定给他做这个手术”,胡建超说。
术前,泸州市中医医院全科医生们又聚在一起进行了多次讨论会诊,加上前期会诊,会诊次数已超10次。
这样类似的高龄患者骨科手术,泸州市中中医院虽已有成功案例,并且具备了丰富的经验,但这一次手术的难度依然非常大。
骨伤二科副主任杨陈一坦言:此次手术即是患者的“人生考试”,也是全体医护人员的职业水平“考试”。
积极“迎考”:老人手术成功开心直呼“考试通过”
时间在家人们不安的呼吸和来回的踱步中一秒一秒过去,下午2点,经历了6个小时的手术,李谨行老人被推出了手术室,手术成功了!见到了父亲,女儿李定敏和家人们都舒了一口气。
“我‘考试’通过了!我‘考试’通过了!”李谨行躺在病床上高兴得直拍手,他骄傲地告诉家人他“考试”通过了,泪水含在他浑浊的眼睛里,家人和护士们也纷纷向他竖起大拇指,给他“满分”的奖励。


李谨行和家人向医院送的锦旗、感谢信
“满分答卷”:家人为老人恢复训练情况打满分
据女儿李定敏说:“父亲是一位老党员,今年还获得了一枚50年党龄纪念章,父亲从小就教育我们要拥护中国共产党。”
病房外的过道上,李谨行老人时常进行恢复训练,来来回回走好几趟,脚步快得完全不像一位92岁刚做完手术的老人。家人们叫他慢一点,他笑着问:“这次能给我打多少分?”引得大家一阵笑,纷纷说“一百分”!
俗话说,伤筋动骨一百天,更何况是这样大型的手术,老人家的康复疗养还需家人长时间精心的照顾。
人生的考试还需继续……

近日,李谨行老人已经出院,身体恢复状况良好。
在此祝愿老人家身体康泰、福如东海!
泸州市中医医院骨伤科为国家级中医重点专科,24小时服务电话:0830-2362265

(来源:泸州市中医医院)
编辑:李永鑫
关注川南在线网微信公众号
长按或扫描二维码 ,获取更多最新资讯
其他