川南在线 发布时间:2023-09-19
日常生活中,年纪大一些的人都会出现记忆力下降的现象,但只有少数人会积极去医院寻求医生帮助。多数人都不以为意,认为记忆力下降是老了的自然现象,但实际上,严重的记忆问题可能是阿尔茨海默病的早期征兆。
今年世界阿尔茨海默病月的主题是:“立防立治 无问早晚”(Never too early,never too late),聚焦于认知障碍危险因素筛查与干预,聚焦于降低危险因素,在未病先防、既病防变、瘥后防复中的积极意义危险因素筛防并立,诊治同行。

据2020年调查数据显示,我国60岁以上人口中,阿尔茨海默病患者达983万,预计到2050年将突破4000万,给家庭和社会带来沉重的负担。为了积极应对这一公共健康问题,西南医科大学附属医院和西南医大附院健康促进科普基地在2023年“服务百姓健康行动”全国大型义诊活动周之际,组织神经内科认知障碍亚专业的医护团队于9月17日走进泸州市绿韵小区开展社区义诊活动。

活动现场,医护人员为现场咨询的老年人,深入浅出地解释了记忆下降的原因,及其阿尔茨海默病等认知障碍疾病之间的关系,以及目前可行的预防措施。此外,还强调了早期发现、早期干预的重要性。
接着,医护人员为每位前来咨询的老年人进行了简单的认知功能评估,帮助他们更好地了解自己的记忆健康状态。医务人员还为老年朋友们提供了日常生活中可以锻炼记忆和保持大脑活跃的建议。


义诊现场还发放了免费的健康宣传册,让老年人和他们的家属更深入、系统地了解记忆下降的问题。希望能够提高社区居民对认知健康的重视,鼓励更多的人在出现记忆问题时及时寻求医学帮助。

什么是阿尔茨海默病?
阿尔茨海默病,俗称老年痴呆症,是老年期痴呆的最主要的类型,表现为记忆减退、词不达意、思维混乱、判断力下降等脑功能异常和性格行为改变等,严重影响日常生活。
阿尔茨海默病的核心病理特征就是大脑内的两种异常蛋白结构的积累:β-淀粉样蛋白(Aβ)形成的斑块和Tau蛋白形成的神经纤维缠结。这些不正常的蛋白质结构随着时间的推移在大脑中累积,导致神经细胞损伤和坏死,从而影响大脑功能,特别是记忆、思维和判断能力。

正常人大脑

阿尔茨海默病患者大脑(脑萎缩)
阿尔茨海默病早期有哪些征兆?
记忆减退
记忆下降是阿尔茨海默病的一个标志性症状,特别是对最近的事情容易忘记。例如,刚刚说过的话、放置的东西经常被忘记。
做不好熟悉的工作
曾经熟练的家务活动现在变得困难。例如,可能会忘记如何穿衣或烹饪一道常做的菜肴。
语言能力减退
患者可能会中断对话,因为他们忘记了想说什么,或者反复提及同一事物。他们可能会错用单词,或难以找到适当的词汇。
搞不清时间和地点
阿尔茨海默病患者出门常迷路,记不住日期,甚至分不清楚白天和黑夜。
思维判断力减退
可能会做出一些不合逻辑的决策,如在炎炎夏日穿着冬天的厚衣服,或在寒冷的冬天穿得很少。
把握做事进度有困难
阿尔茨海默病患者在社交场合或工作中可能会遇到困难,他们可能不再能够按计划完成任务。
东西放错地方
常常将物品放在不应该的地方,如将遥控器放在冰箱里或钱包放在微波炉中。
情绪和行为出现改变
患者可能会突然情绪化,如突然变得非常敏感、恐惧或怀疑。
理解视觉和空间信息有困难
例如过马路看错红绿灯,倒车经常发生刮蹭。
兴趣丧失,失去做事的主动性
他们可能失去了对日常活动的兴趣,如阅读、散步或与亲朋好友聚会。可能会变得非常被动,大部分时间都在休息或看电视。
阿尔茨海默病如何早期诊断?
很多人认为阿尔茨海默病是一个无法治愈的疾病,这在很大程度上是因为在病情进展到中后期才得到诊断。然而,随着最近美国食品药品监督管理局(FDA)批准的靶向清除异常蛋白药物的出现,早期诊断阿尔茨海默病变得尤为关键。
认知评估
通过专门的神经心理测评估工具,来检测和追踪记忆、注意力和其他认知功能的变化。
影像学检查
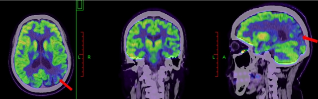
利用脑部影像学技术,如MRI可以发现特异区域的萎缩;PET-CT扫描,可以检测大脑中的异常蛋白质堆积或其他结构变化(见下图)。
脑脊液检测
通过脑脊液样本,可以检测与阿尔茨海默病相关的特定蛋白的变化。
基因检测
尽管大多数阿尔茨海默病并不是直接由单一基因引起的,但某些家族性的阿尔茨海默病确实与特定基因变异有关。对于早发痴呆或有家族遗传史的患者需要进行基因检测,这样可以提供风险评估。
日常功能和行为评估
家属和看护人员可以提供关于患者日常活动中的变化或认知下降的信息。
西南医科大学附属医院神经内科认知专业组可为广大早期记忆下降的患者提供全面且精准地诊断,

阿尔茨海默病患者FDG-PET,可显示颞顶叶葡萄糖代谢减低(红色箭头所示)

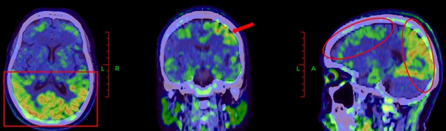
阿尔茨海默病患者淀粉样蛋白PET,可显示大脑皮层广泛β-淀粉样蛋白沉积

阿尔茨海默病患者Tau蛋白PET,可显示大脑皮层广泛Tau蛋白沉积
以上图片由西南医科大学附属医院核医学科提供。
如果您或您身边人有以上症状和行为,请到正规的医疗机构进行咨询和检查,为了对这一类疾病进行“早筛查、早防治”,西南医科大学附属医院专门开设了“记忆门诊”。
出诊地址:西南医科大学附属医院忠山院区门诊四楼 神经内科诊室(9号诊室)
出诊时间:
每周四上午08:00-11:30 陈秀教授
每周四下午13:00-16:00 吕志宇副教授
(来源:西南医科大学附属医院 文/吕志宇 图/任诗雨)
编辑:李永鑫
关注川南在线网微信公众号
长按或扫描二维码 ,获取更多最新资讯
其他